Aftas
As aftas não são contagiosas. E é importante diferenciá-las das lesões provocadas pelo herpes. No entanto, provocam dor e ardor, e pioram quando se ingere alimentos quentes ou picantes, atrapalhando atividades do dia a dia, como falar e comer. A maioria das aftas dura em média de 1 a 2 semanas e costuma curar sem deixar cicatriz.
Os medicamentos disponíveis para seu tratamento visam diminuir sua freqüência e aliviar seus sintomas. Os mais utilizados são corticóides em forma de pomadas, de uso tópico, ou seja, aplicados no local. Melhorar a higiene bucal também auxilia no tratamento das aftas. Por isso, em alguns casos, são utilizados enxaguatórios bucais com clorexidina e antissépticos, diminuindo as bactérias presentes na cavidade oral.
Em casos mais graves, corticóides na forma de comprimidos podem ser utilizados, até por serem muito eficazes. Os antiinflamatórios também podem ser utilizados no alívio da dor. É importante observar que, caso as aftas persistam por mais de 14 dias, caso elas sejam muito grandes, se houver febre ou se aparecerem com freqüência, deve-se procurar a orientação de um dentista para um diagnóstico mais preciso. Em alguns casos, poderá ser necessário realizar um procedimento que passará por uma biópsia e que será enviada para um laboratório de anatomia patológica.

Boca Seca
Acomete, com intensidade e duração variáveis, um grande número de pessoas e suas causas podem variar consideravelmente, podendo ser transitórias ou não.
Causas transitórias de boca seca incluem:
- Respiração bucal
- Ronco à noite
- Stress
- Uso de enxaguantes bucais com álcool
- Consumo de bebidas alcoólicas e bebidas com cafeína
- Ficar sem comida ou água
- Viver ou trabalhar em uma atmosfera seca ou empoeirada
- Ter uma profissão que exige falar muito como professor, locutor ou ator
- Uso de medicamentos calmantes, antidepressivos, descongestionantes, antihistamínicos, antihipertensivos, diuréticos e outros
Condições médicas que podem causar boca seca por longo período:
- Síndrome de Sjögren.
- Síndrome de Fibromialgia e Síndrome de Fadiga crônica
- Diabetes
- Artrite Reumatóide
- Lupus
- Esclerodermia
- Doença de Parkinson
- HIV/Aids
- Radioterapia e Quimioterapia
- AVC
- Asma
- Hemodiálise
- Transplante de medula óssea
-Hipertensão
-Disfunção na tireóide
- Alterações hormonais durante a gravidez e menopausa
Por que a saliva é tão importante? A saliva tem papel importante na formação do bolo alimentar, favorecendo a digestão e deglutição; proporciona uma lavagem físico-mecânica, facilitando uma melhor movimentação da língua e demais músculos; atua na proteção da mucosa da boca; controla a microbiota bucal; estabelece e mantém o pH do meio, atuando no processo da cárie dental.
Os sintomas de boca seca incluem:
Sensação de secura e pegajosidade em sua boca;
Dificuldade de deglutição;
Sensação de queimação em sua língua;
Sensação de secura em sua garganta;
Lábios rachados;
Paladar reduzido ou um gosto metálico em sua boca;
Feridas na boca;
Mau hálito freqüente;
Dificuldade de mastigar/falar.
- Dificuldade para mastigar, engolir, ou falar
- Mau hálito - também conhecido como halitose.
- Cárie dental, erosão dental e doença gengival
- Lábios rachados
- Língua áspera, ressecada
- Feridas bucais e úlceras
- Sensação de queimação na boca
- Candidíase bucal
- Sono interrompido por causa da sede
- Problemas no uso de próteses dentárias
Xerostomia é uma causa muito comum de halitose e contribui para várias mudanças bucais. Em uma boca seca as bactérias se tornam mais concentradas na saliva e os Compostos Sulfurados Voláteis - CSV, que as bactérias produzem, tendem a evaporar mais facilmente no ar. Quando isto ocorre, o mau hálito fica mais forte e mais perceptível. Adicionalmente, o pH da boca fica alterado e predispõe a um meio ambiente favorável ao crescimento das bactérias anaeróbias. Como há menos saliva, o efeito de limpeza da saliva fica reduzido e isto resulta em mais bactérias e restos celulares acumulados na cavidade oral.
Qual o tratamento indicado? O primeiro passo para o tratamento é o diagnóstico correto: o paciente que perceber os sinais e sintomas associados à boca seca deve procurar o cirurgião-dentista. Os tratamentos variam em função da causa: se a xerostomia tiver origem medicamentosa, o cirugião-dentista deverá entrar em contato com o médico do paciente para estudarem a possibilidade de substituição do medicamento por outro que não afete a produção de saliva.
Nos casos de perda irreversível da produção de saliva (radiação, Síndrome de Sjögren, idade avançada, agenesia congênita), existe a possibilidade de minimizar o problema com uso de saliva artificial manipulada ou comercial, gomas de mascar sem açúcar e medicamentos que estimulem a salivação, além da orientação quanto à dieta com proteínas e vitaminas.
O paciente com xerostomia, independentemente da causa, deverá ser acompanhado pelo profissional em intervalos menores para orientação de higiene oral constante, aplicação de flúor e tratamento gengival básico. O paciente deverá manter-se sempre bem hidratado, ingerindo água ou outra bebida sem açúcar e evitando o consumo de bebidas com álcool ou cafeína.
Se os lábios estiverem secos, pode ser indicado o uso de lubrificantes à base de vaselina. Durante as refeições, devem-se preferir alimentos moles, úmidos e pouco condimentados. Nos casos onde exista também infecções fúngicas, o profissional poderá indicar bochechos com antifúngicos.
Para amenizar a sensação de boca seca você também pode:
Beber água ou bebidas sem açúcar com freqüência;
Evitar bebidas com cafeína, como café, chá ou alguns refrigerantes, que também podem causar a secura da boca;
Mascar gomas sem açúcar ou chupar balas duras sem açúcar para estimular o fluxo de saliva (se houver alguma glândula salivar funcionando);
Não utilizar tabaco ou álcool, que ressecam a boca;
Estar ciente de que alimentos condimentados ou salgados podem causar dor em uma boca seca;
Utilizar um hidratante bucal no quarto, durante a noite.
Fonte: Revista da APCD - Orientando o paciente
Bruxismo
Como Saber Se Tenho Bruxismo?
Para muitas pessoas, o bruxismo é um hábito inconsciente. Estas pessoas podem nem mesmo perceber que estão fazendo isto, até que alguém comente que elas fazem um horrível som de ranger de dentes enquanto estão dormindo. Para outras pessoas, é quando fazem um exame dental rotineiro e descobrem que seus dentes estão desgastados ou o esmalte de seu dente está rachado.
Outros potenciais sinais de bruxismo incluem dor na face, na cabeça e no pescoço. Seu dentista é capaz de fazer um diagnóstico preciso e determinar se a origem da dor facial é causada por bruxismo.
Tratamento
O tratamento apropriado dependerá do que está lhe causando o problema. Fazendo perguntas apropriadas e examinando detalhadamente seus dentes, seu dentista pode lhe ajudar a determinar se a fonte potencial de seu bruxismo. Com base no grau dos danos causados a seus dentes e a causa provável, seu dentista poderá sugerir:
O uso de um dispositivo quando dormir. Feito sob encomenda pelo seu dentista e ajustado aos seus dentes, o dispositivo encaixa-se sobre os dentes superiores e os protege de se triturarem com os dentes inferiores. Apesar de o dispositivo ser uma boa maneira para lidar com bruxismo, ele não é uma cura.
Encontrando meios de relaxamento. A tensão cotidiana parece ser uma das causas principais do bruxismo, e não importa o que seja que reduza a tensão, pode contribuir - ouvir música, ler um livro, fazer um passeio ou tomar um banho. Procurar alguma terapia auxiliará no aprendizado de meios eficazes de controlar situações estressantes. Adicionalmente, se aplicar uma toalhinha morna e molhada no lado de sua face isto poderá ajudar a relaxar os músculos doloridos devido à pressão exercida.
Reduzindo a "exposição" de um ou mais dentes para igualar sua mordida. Uma mordida anormal, no qual os dentes não se ajustam bem, também pode ser corrigido com restaurações, coroas ou ortodontia.

Cancer de Boca
Se não for detectado de maneira precoce, o câncer bucal pode exigir tratamentos que vão da cirurgia (para a sua remoção) à radioterapia ou quimioterapia. Este câncer pode ser fatal, com uma taxa de sobrevivência de cinco anos de 50%*. Uma das razões pelas quais este prognóstico é tão negativo é o fato de que os primeiros sintomas não serem reconhecidos logo. O diagnóstico precoce é fundamental para o sucesso do tratamento.
Quais os sintomas deste tipo de câncer?
Nem sempre é possível visualizar os primeiros sinais que indicam a existência do câncer bucal, o que aumenta a importância das consultas regulares com o dentista ou o médico. Seu dentista foi preparado para detectar os primeiros sinais do câncer bucal. Contudo, além das consultas regulares, é preciso que você fale com seu dentista se perceber qualquer dos sinais abaixo:
- Ferida nos lábios, gengiva ou no interior da boca, que sangra facilmente e não parece melhorar;
- Um caroço ou inchaço na bochecha que você sente ao passar a língua;
- Perda de sensibilidade ou sensação de dormência em qualquer parte da boca;
- Manchas brancas ou vermelhas na gengiva, língua ou qualquer outra parte da boca;
- Dificuldade para mastigar ou para engolir;
- Dor sem razão aparente ou sensação de ter algo preso na garganta;
- Inchaço que impede a adaptação correta da dentadura;
- Mudança na voz.
Se você não fuma nem masca tabaco, não comece a fazê-lo. O uso do tabaco é responsável por 80 a 90% das causas de câncer bucal.**
Fumo – A ligação entre o fumo, o câncer pulmonar e as doenças cardíacas já foi estabelecida (1). O fumo também afeta sua saúde geral, tornando mais difícil o combate a infecções e a reparação de ferimentos ou de cirurgias. Em adultos jovens, este hábito pode retardar o crescimento e dificultar o desenvolvimento. Muitos fumantes afirmam não sentir mais o odor ou sabor tão bem como antes. O fumo também pode causar mau hálito e manchar os dentes.
Sua saúde bucal está em perigo cada vez que você acende um cigarro, um charuto ou um cachimbo. Com esta atitude, suas chances de desenvolver câncer na laringe, na boca, na garganta e no esôfago aumentam. Como muitas pessoas não notam ou simplesmente ignoram os sintomas iniciais, o câncer bucal muitas vezes se espalha antes de ser detectado.
Mascar tabaco – O hábito de mascar tabaco eleva em 50 vezes a possibilidade de se desenvolver o câncer bucal.
O melhor a se fazer é não fumar nem usar quaisquer outros produtos derivados do tabaco. Quando uma pessoa pára de usar esses produtos, mesmo depois de vários anos de consumo, o risco de contrair câncer bucal se reduz significativamente. O consumo excessivo de bebidas alcoólicas também aumenta o risco de câncer bucal. A combinação fumo/álcool torna esse risco ainda muito maior.
Como se trata o câncer bucal?
Depois do diagnóstico, uma equipe de especialistas (que inclui um cirurgião dentista) desenvolve um plano de tratamento especial para cada paciente. Quase sempre a cirurgia é indispensável, seguida de um tratamento de radio ou quimioterapia. É essencial entrar em contato com um profissional que esteja familiarizado com as mudanças produzidas na boca por essas terapias.
Que efeitos colaterais a radioterapia produz na boca?
Quando a radioterapia é usada na área de cabeça e pescoço, muitas pessoas experimentam irritação ou ressecamento da boca, dificuldade de deglutir e perda do paladar. A radiação também aumenta o risco de cáries e, por isso, é muito mais importante cuidar bem da boca e da garganta neste período.
Converse com seu dentista e seu médico oncologista sobre os problemas bucais que você possa ter durante ou depois do tratamento. Antes de começar a radioterapia, não se esqueça de discutir com seu dentista os possíveis efeitos colaterais e a forma de evitá-los.
Como manter a saúde bucal durante a terapia?
Use uma escova macia depois das refeições e fio dental diariamente. Evite condimentos e alimentos ásperos como vegetais crus, nozes e biscoitos secos. Evite o fumo e o álcool. Para não ficar com a boca seca, os doces e chicletes não devem conter açúcar.
Antes de começar a radioterapia, consulte seu dentista e faça uma revisão completa dos seus dentes e peça ao dentista para conversar com seu oncologista.
* "Guia completo para um melhor cuidado dos dentes", Jeffrey F. Taintor, D.D.S., M.S. e Mary Jane Taintor, 1997.
** Instituto Nacional do Câncer, “O que você deve saber sobre o câncer de boca." Última revisão, 28 de set. 1998.
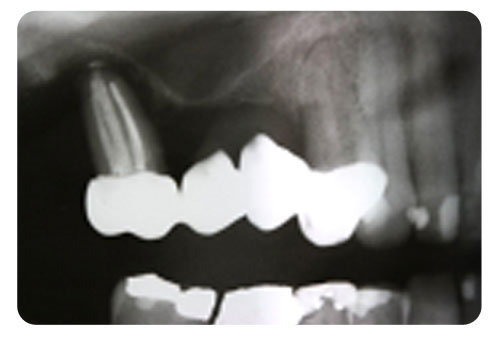
Carga Imediata
Para muitos pacientes, a necessidade de estar sem a prótese durante um período de tempo, após a instalação dos implantes, pode ser considerada inconveniência em função do convívio social e atividades profissionais. O termo carga imediata pode ser definido como instalação de implantes osseointegrados em condições ideais à estabilidade primária, seguida de ativação protética ( colocação dos dentes ) 48 horas após a cirurgia. Esta definição era aplicada à instalação de múltiplos implantes dentários e a contenção entre os mesmos promovendo um efeito de estabilidade. Com estudos recentes podemos colocar o implante unitário e colocar o dente no mesmo instante, sendo observado somente uma boa estrutura óssea.
O tratamento para colocação de implante é seguro?
O planejamento e a boa indicação de cada técnica que se utiliza é o grande diferencial do sucesso previsível. A técnica de carga imediata sem dúvida é uma ótima indicação para situações em que a quantidade e qualidade ósseas e os hábitos oclusais sejam favoráveis a sua aplicação.
Quanto tempo leva para ser feito ?
O processo leva cerca de 2 ou 3 dias variando de acordo com o número de dentes a serem implantados no paciente. Em reabilitações totais, na média, são realizados 6 a 8 implantes para cada arcada ( superior ou inferior ) em uma única sessão cirúrgica. Com o modelo em mãos é confeccionada a infra-estrutura que é provada em uma sessão, normalmente no dia seguinte a cirurgia. A infra-estrutura volta ao laboratório onde recebe os dentes. Depois a peça pronta é colocada.
A utilização de implantes unitários com procedimentos de carga imediata é discutível, porém em situações isoladas, nos quais fatores clínicos e gerais do paciente favorecem tal indicação, há possibilidade da instalação de elementos unitários, com o acompanhamento periódico regular , durante e após o processo de osseointegração, realizado também nos demais casos.
Podemos prever o resultado ?
Observando o estudo comparativo entre a técnica convencional estabelecida por BRANEMARK e o protocolo de carga imediata temos como grandes vantagens a diminuição do tempo das consultas e a rapidez dos resultados oferecidos ao paciente, com efeito psicológico e social melhorados, já que os resultados geram bem estar funcional e estético. Os pacientes devem ser selecionados e a indicação estabelecida após controle sistêmico da saúde e das condições locais favorecidas para essa técnica. Comparada com a técnica convencional onde o paciente esperaria normalmente de 3 a 6 meses para a colocação dos dentes, a técnica da carga imediata pode ser uma ótima opção.
Cáries Dentárias
As cáries dentárias são mais frequentes entre crianças mas os adultos também estão em risco. Os tipos mais comuns de cáries dentárias são:
• Cáries coronárias - o tipo mais comum; ocorre tanto em crianças como em adultos; as cáries coronárias estão localizadas mais frequentemente nas superfícies oclusais ou entre os dentes.
• Cáries radiculares - à medida que envelhecemos, as gengivas sofrem recessões expondo parte das raízes dos dentes. Como não existe esmalte a cobrir as raízes dos dentes, estas áreas expostas cariam facilmente.
• Cáres recidivantes (reincidentes) - as cáries podem formar-se à volta das restaurações ou das coroas. Esta situação ocorre porque estas áreas têm tendência para acumular mais placa bacteriana e podem, em último caso, dar origem a uma cárie dentária.
Os adultos encontram-se em risco se sofrer, principalmente, de boca seca, uma situação que surge devido à falta de saliva. A boca seca pode ser causada por uma doença, medicação, radioterapia e quimioterapia e poderá ser temporária (dias a meses) ou permanente, dependendo da causa que a origina.
As cáries dentárias são um problema sério. Se não são tratadas podem destruir o seu dente e matar os nervos, muito delicados, no centro do dente, originando um abcesso, uma área de infecção na ponta da raíz. A partir do momento em que o abcesso se forma, o dente só pode ser tratado através de uma desvitalização, cirurgia ou extracção do dente.
Como é que sei que tenho uma cárie dentária?
Só o seu dentista pode dizer-lhe com certeza se você tem ou não uma cárie dentária. Isto deve- -se ao facto de as cáries poderem desenvolver-se debaixo da superfície dentária, onde você não consegue ver a olho nu. Quando ingere alimentos que contêm hidratos de carbono (açúcares,etc.), estes hidratos de carbono servem de alimento às bactérias da placa bacteriana que produzem ácidos e penetram no dente. Com o passar do tempo, o esmalte do dente começa a deteriorar-se debaixo da superfíce dentária enquanto esta mantém-se intacta. Quando esta sub- -superfície desaparece, a superfície colapsa expondo a cavidade.
As cáries dentárias desenvolvem-se com mais frequência nas fissuras das superfícies oclusais dos dentes posteriores, entre os dentes e junto à linha gengival. Mas independentemente onde elas ocorram, a melhor forma de detectar e tratá-las antes que se tornem um problema mais sério, é através de uma visita regular ao dentista para consultas de rotina.
• Escove, pelo menos, duas vezes ao dia e use fio dentário diariamente para remover a placa bacteriana entre os dentes e debaixo da linha da gengiva.
• Faça consultas regulares no dentista. O tratamento preventivo pode ajudá-lo a evitar que os problemas surjam e impede que os menores problemas se tornem maiores.
• Faça uma alimentação equilibrada limitando os alimentos açúcarados ou com hidratos de carbono. Ingira estes alimentos durante a sua refeição em vez de os comer entre refeições para minimizar o número de vezes que os seus dentes estão expostos aos ácidos.
• Use produtos dentários que contenham flúor, incluindo a pasta dentífrica.
• O seu dentista ou pediatra pode prescrever suplementos de flúor.
Clareamento Dentário
Atualmente, o clareamento de consultório, que é realizado pelo dentista, é uma alternativa para quem não quer se sujeitar ao uso das moldeiras e quer atingir resultados mais rapidamente, pois as concentrações de peróxido de hidrogênio são mais elevadas, 35% na maioria dos casos. Em geral são feitas duas consultas com três aplicações do gel por quinze minutos, mas isso não é uma regra, podendo ser flexibilizado: por exemplo, o paciente, por apresentar sensibilidade ou por cansaço, pode interromper na segunda aplicação o que, via de regra, acontece. Então fazer mais consultas com menos aplicações do gel é o mais adequado para esse paciente. A utilização de fontes luminosas é rotineira nesse tipo de clareamento, embora, alguns estudos mostrem que não há diferença no resultado final com e sem o seu uso, ainda assim, elas são, sem dúvidas nenhuma, grandes armas de marketing.
COMO FUNCIONA O CLAREAMENTO?
O mecanismo clareador é um processo complexo que é alvo de inúmeros estudos. O clareamento basicamente funciona com uma reação de oxidação dos pigmentos do dente. Ou seja, os peróxidos do gel clareador que têm sua composição H2O2 são instáveis e liberam oxigênio na estrutura dental. Esse oxigênio vai oxidando os pigmentos amarelados, que são compostos, basicamente, por cadeias carbônicas insaturadas, tornando os pigmentos mais claros, que são compostos por cadeias saturadas com grupos hidroxila (OH), até fazer a quebra desses em gás carbônico e água. Um exemplo comum de oxidação é a lenha queimando na lareira. Quando algo é queimado, é rapidamente transformado em gás carbônico, água e calor. A diferença para o clareamento é a velocidade da reação, que é mais lenta e produz substâncias intermediárias mais claras até converter tudo em gás carbônico e água.
DEVO USAR PASTAS DE DENTE WHITENING DURANTE O CLAREAMENTO PARA ACELERÁ-LO?
Não. As pastas de dente que têm essa expressão whitening (branqueamento) na embalagem não têm o mesmo mecanismo de ação que os clareamentos de consultório e caseiro. Essas pastas contêm partículas abrasivas que removem a camada superficial do esmalte junto com as manchas mais superficiais. Com a remoção contínua de esmalte, devido ao uso prolongado, a dentina, que é a camada abaixo do esmalte e é mais amarelada, fica mais visível, deixando o dente, por conseguinte, mais amarelado. Durante o clareamento o esmalte pode ficar mais frágil contraindicando, ainda mais, o uso dessas pastas.
RESTAURAÇÕES E CLAREAMENTO
O clareamento é frequentemente combinado com outros procedimentos estéticos restauradores como restaurações de resina, facetas e coroas. O clareamento é sempre oferecido antes, pois é impossível clarear as facetas e as coroas após sua confecção. Um prazo de uma a duas semanas deve ser aguardado após o clareamento antes de começar o tratamento restaurador, pois os agentes clareadores liberam oxigênio no dente o que prejudica as colagens das restaurações, ou seja, elas podem falhar e “cair” com maior facilidadade.
PRODUTOS CLAREADORES OTC (OVER THE COUNTER)
A expressão over the counter drugs do inglês é utilizada para se referir a remédios que são vendidos sem prescrição médica. Ou seja, são aqueles que você acha nas prateleiras de qualquer farmácia, supermercado ou loja de conveniência. Logo, os produtos clareadores OTC também são facilmente encontrados e vendidos. Esses produtos, ao serem administrados sem cautela, podem causar problemas ao indivíduo como erosão do esmalte. Os produtos OTC contêm moldeiras pré-fabricadas que podem extravasar o gel (alguns de alta concentração) para a boca, podendo causar sensibilidade dentária e irritação gengival. Além disso, alguns deles vêm com pasta de dente clareadora que possui dióxido de titânio que é um pigmento branco e pode dar a aparência temporária de dente branqueado.
ENTÃO, QUAL TIPO EU DEVO FAZER?
Converse com o seu dentista e chegue a um plano de tratamento específico e adequado para você. O clareamento de consultório apresenta algumas vantagens, por exemplo, dispensa o uso de moldeiras, o tempo de tratamento é menor, e, em geral, a sensibilidade dentária é menor do que o caseiro, entretanto tem maior custo. Além disso, é possível combinar os dois tipos. Esse procedimento é comumente utilizado para motivar o paciente, pois são feitas uma a duas aplicações no consultório, o que permite um resultado instantâneo, e o tratamento continua com o uso da moldeira em casa.
Coroas e Próteses Fixas
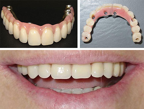
Como funcionam as próteses fixas (ou pontes)?
A prótese fixa pode ser recomendada se você tiver perdido um ou mais dentes. Falhas deixadas por dentes ausentes podem fazer com que os dentes remanescentes girem ou se movam para os espaços vazios, resultando em uma mordida errada. O desequilíbrio causado pelo dente ausente também pode levar à gengivite e à disfunção da articulação temporomandibular (ATM).
As próteses fixas são comumente utilizadas para substituir um ou mais dentes ausentes. Elas preenchem o espaço onde não há dentes e podem ser cimentadas aos dentes naturais ou implantes próximos ao espaço vazio. Estes dentes, chamados de pilares, servem de âncoras para as pontes. Um dente substituto denominado pôntico é soldado às coroas que revestem os pilares. Assim como ocorre com as coroas, você poderá escolher o material utilizado para as pontes. Seu dentista poderá ajudá-lo a decidir levando em consideração a localização do dente ausente (ou dentes ausentes), a sua função, os aspectos estéticos e o seu custo. As próteses fixas de porcelana ou de cerâmica devem ter a mesma cor que a natural dos dentes. Como são feitas as coroas e próteses fixas (pontes)?
Antes de se fazer uma coroa ou prótese fixa, o dente (ou dentes) deve ser reduzido em seu tamanho de modo que a coroa ou ponte se encaixe perfeitamente sobre o preparo. Após a redução do dente/dentes, seu dentista fará um molde exato para a confecção da coroa ou ponte. Se a opção for por porcelana, seu dentista escolherá a cor exata da coroa ou da ponte que combine com a cor dos demais dentes.
A partir deste molde, um laboratório de prótese dentária (protético) fará sua coroa ou ponte, no material especificado pelo seu dentista. Uma coroa ou prótese provisória será colocada no local para cobrir o dente preparado, enquanto a coroa ou prótese fixa permanente está sendo feita. Quando estiverem prontas as definitivas, a coroa ou prótese temporária são removidas para que a nova seja cimentada sobre o dente ou dentes já preparados.
Embora as coroas ou pontes possam durar uma vida toda, algumas vezes elas se soltam ou caem. O passo mais importante para garantir a longevidade de sua coroa ou ponte é possuir uma boa prática de higiene bucal. A ponte pode perder seu apoio se os dentes ou osso que a sustentam forem danificados por doenças. Mantenha suas gengivas e dentes saudáveis, escovando com creme dental com flúor e utilizando o fio dental diariamente. Visite, também seu dentista regularmente, para exames e limpezas profissionais.
Para prevenir o dano em sua nova coroa ou prótese fixa, evite morder alimentos duros, gelo ou outros objetos duros.
Doenças Cardiovasculares
Em geral, os dados indicam que a gengivite crônica pode contribuir para o desenvolvimento de problemas cardíacos.
Como isso acontece?
A gengivite é uma infecção bacteriana que pode ter efeitos à distância da sua boca. Com relação a problemas cardíacos, há uma teoria que diz que a gengivite permite às bactérias entrarem na corrente sangüínea e aderir aos depósitos de gordura existentes nos vasos do coração. Isto pode causar coágulos e provocar um problema cardíaco.
O relatório do Ministério da Saúde dos Estados Unidos sobre saúde bucal afirma que a saúde bucal é parte integrante da saúde geral. Por isso, escove os dentes, use fio dental e vá ao dentista regularmente.
Com relação à saúde bucal, existem recomendações especiais para quem tem problemas cardíacos?
Para uma perfeita saúde bucal, você deve:
• Manter sua boca saudável. Isto é, escovar os dentes, usar fio dental diariamente e consultar o dentista regularmente;
• Informe seu dentista a respeito de seu problema de saúde geral;
• Siga com cuidado as instruções do dentista e de seu médico e use os medicamentos - como antibióticos, por exemplo – de acordo com as indicações.
Se você tiver certos problemas cardíacos, existe a possibilidade de você desenvolver uma endocardite bacteriana , uma infecção do revestimento interno do coração ou das válvulas.
Um sangramento na boca pode permitir que certas bactérias bucais entrem no sistema sangüíneo e atinjam as válvulas ou tecidos que foram enfraquecidos por um problema cardíaco préexistente.
Nesses casos, a infeção pode danificar ou mesmo destruir as válvulas e os tecidos do coração.
Há precauções que você deve tomar se estiver enquadrado em algum dos itens abaixo:
• Válvulas artificiais;
• Histórico de endocardite;
• Defeitos cardíacos congênitos;
• Válvulas cardíacas danificadas por problemas como,por exemplo, febre reumática;
• Prolapso da válvula mitral com sopro;
• Miocardiopatia hipertrófica.
Não deixe de conversar com seu dentista sobre qualquer problema cardíaco que estiver sentindo e os medicamentos que está tomando. Ele anotará essas informações em seu prontuário e tomará decisões sobre o seu tratamento dentário em conjunto com o seu médico.
Dentes do Siso
Normalmente desenvolvem-se no final da adolescência ou por volta dos 20 anos.
Muitas vezes, os dentes do siso ficam presos ou encaixados no osso do maxilar ou simplesmente não saem. Isto pode causar sobreposição ou deslocação de outros dentes ou levar ao desenvolvimento de cárie dentária localizada. Os dentes do siso ficam presos no osso do maxilar em posições fora do normal, por vezes na horizontal, o que os impede de saírem de forma normal.
Na maior parte dos casos, é recomendado extrair os dentes do siso presos. Dependendo da posição do dente a remoção do terceiro molar ou dente do siso pode ser realizada no consultório do seu dentista, numa clínica de cirurgia ou num hospital.
Se o dente não está impactado, a extração é igual a qualquer outro dente.
Para aliviar o desconforto ou acelerar a cicatrização:
• Use bolsas de gelo nas bochechas contra o inchaço. Pondo-as e retirando-as cada 30 minutos
• Pressione trincando gaze para parar a hemorragia
• Coma alimentos moles e beba mais líquidos
• Evite comidas duras ou crocantes na zona mole
• Escove com cuidado no dia depois da cirurgia
• Tome os medicamentos receitados e siga todas as instruções que lhe foram dadas
• Evite o uso de canudos para beber a fim de reter o coágulo sangüíneo na cavidade do dente
Seu dentista pode recomendar o uso de um enxágüe bucal.
Contate o seu dentista ou higienista imediatamente caso haja hemorragia ou inchaço excessivos, dor persistente e severa ou febre.
Não se esqueça de seguir as instruções de cuidados em casa dadas pelo seu dentista.
Diabetes
Dos 21 milhões de americanos que têm diabetes, muitos podem ficar surpresos com uma inesperada complicação associada com esta condição. 1A, 2 Pesquisas sugerem que há uma prevalência aumentada de doenças gengivais (gengivite e periodontite) dentre aqueles com diabetes, somando as doenças gengivais a uma lista de outras complicações associadas com diabetes, tais como doenças cardíacas, acidentes vasculares encefálicos isquêmicos (derrame cerebral) e doenças renais.3
Existe uma via de mão dupla?
Pesquisas recentes sugerem que a relação entre doenças gengivais e diabetes é uma via de mão dupla.4A Não somente as pessoas com diabetes são suscetíveis às doenças gengivais, mas esta pode ter o potencial de afetar o controle glicêmico no sangue e contribuir para a progressão do diabetes.4A,4B Pesquisas sugerem que pessoas com diabetes têm alto risco de adquirirem problemas bucais, tais como gengivite (um estágio inicial de doença gengival) e periodontite (doença gengival avançada com perdas ósseas)5,6 Pessoas com diabetes têm um risco aumentado para doenças gengivais avançadas porque os diabéticos são geralmente mais suscetíveis às infecções bacterianas, e têm uma diminuição na capacidade de combater as bactérias que invadem o tecido gengival.6
O Surgeon General´s Report on Oral Health afirma que uma boa saúde bucal é parte integrante da saúde geral.7 Por isso, escove os dentes, use fio dental e consulte o dentista regularmente.8A
Por ser diabético corro um risco maior de ter problemas com os dentes?
Se seus níveis de glicose no sangue não forem bem controlados, você tem maior chance de desenvolver doença gengival avançada e de perder dentes quando comparado a pessoas que não têm diabetes.9A Como todas as infecções, a doença gengival pode ser um fator que eleva o açúcar do sangue e pode tornar o controle do diabetes mais difícil.4A,4B
Outros problemas bucais relacionados com diabetes são: candidíase (sapinho- uma infecção causada por um fungo que cresce na boca), boca seca que pode causar aftas, úlceras, infecções e cáries.10A
Como evitar problemas dentários associados ao diabetes?
Em primeiro lugar, o mais importante é você controlar o nível de glicose no sangue. Em seguida, cuide bem dos seus dentes e gengiva e faça exames minuciosos a cada seis meses.9B,8A Para controlar as infecções por fungo, controle bem seu diabetes, procure não fumar e, se usar dentadura, remova-a e limpe-a diariamente.9B,8A O controle adequado da glicose do sangue também ajuda a evitar ou aliviar a boca seca causada pelo diabetes.10B
Que posso esperar das minhas consultas com o dentista? Devo contar a ele que tenho diabete?
As pessoas que têm diabetes necessitam cuidados especiais e seu dentista está preparado para ajudá-lo.9C Mantenha seu dentista informado sobre qualquer alteração em seu estado de saúde e sobre os medicamentos que estiver tomando.9C Exceto em caso de emergência, não se submeta a qualquer procedimento dentário se o açúcar no sangue não estiver bem controlado.9C
1 American Diabetes Association. Total Prevalence of Diabetes and Pre-Diabetes. Available at http://www.diabetes.org/diabetes-statistics/prevalence.jsp. Accessed February 29, 2008.
2 American Diabetes Association. Complications of Diabetes in the United States. Available at http://www.diabetes.org/diabetes-statistics/complications.jsp. Accessed February 20, 2008.
3 American Diabetes Association. Type 2 Diabetes Complications. Available at http:www.diabetes.org/type-2-diabetes/complications.jsp. Accessed August 29, 2007.
4 Mealey, BL. Periodontal disease and diabetes: A two-way street. Journal of the American Dental Association. October 2006.
5 American Academy of Periodontology: Periodontal (Gum) Diseases Available at http://www.perio.org/consumer/2a.html. Accessed January 10, 2008.
6 Garcia RI, Henshaw MM, and Krall EA. Relationship between periodontal disease and systemic health. Periodontology 2000. 2001;25:21-36.
7 National Institutes of Health. Oral Health in America: A Report of the Surgeon General. Available at: http://www2.nidcr.nih.gov/sgr/sgrohweb/welcome.htm. Accessed March 12, 2008.
8 American Dental Association. Cleaning Your Teeth and Gums. Available at http://ada.org/public/topics/cleaning.asp. Accessed December 12, 2007.
9 National Institutes of Health. Prevent Diabetes Problems – Keep your teeth and gums healthy. Available at: http://diabetes.niddk.nih.gov/dm/pubs/complications_teeth/index.htm. Accessed March 18, 2008.
10 National Institutes of Health. Diabetes: Dental Tips. Available at: http://www.nidcr.nih.gov/HealthInformation/DiseasesAndConditions/DiabetesAndOralHealth/ DiabetesDentalTips.htm. Accessed March 18, 2008.
Distúrbios Alimentares
Um indivíduo com bulimia entra em um ciclo de comer compulsivamente e vomitar. Os ácidos estomacais durante o vômito passam pela boca e podem desgastar o esmalte do dente, causando cáries, descoloração e até a perda do dente.
Como os dentes ficam com uma aparência gasta e amarelada, o dentista pode ser o primeiro a notar os sinais deste distúrbio alimentar. A odontologia cosmética pode ajudar a corrigir o esmalte danificado dos dentes.
Na anorexia, a quase inanição priva o organismo dos nutrientes de que necessita. Pode-se desenvolver uma osteoporose com um enfraquecimento dos ossos maxilares que suportam os dentes podendo-se chegar até à perda do elemento dentário.
Em ambos os casos, é essencial que se trate as causas subjacentes que levam à anorexia e à bulimia, bem como que se trate as complicações dentárias delas resultantes. Embora o dentista possa reparar o esmalte danificado dos dentes, ele não poderá tratar o distúrbio alimentar real. Casa você tenha – ou suspeite ter - algum distúrbio alimentar consulte seu médico.
Fonte: Colgate
DTM
O que é ATM?
D-ATM, ou disfunção da articulação temporomandibular, é uma alteração da articulação que liga o maxilar à mandíbula que pode, por exemplo, não estar funcionando adequadamente. Essa articulação é uma das mais complexas do corpo humano, responsável por mover a mandíbula para frente, para trás e para os lados. Qualquer problema que impeça a função ou o adequado funcionamento deste complexo sistema de músculos, de ligamentos, de discos e de ossos é chamado de D-ATM. Geralmente, a D-ATM dá a sensação ao indivíduo acometido de que sua mandíbula está saltando para fora, fazendo um estalo e até travando por um instante. A causa exata desta disfunção, em geral, é impossível de ser identificada.
Quais os sintomas da D-ATM?
Disfunções de ATM apresentam muitos sinais e sintomas. É difícil saber com certeza se você tem D-ATM, porque um destes sintomas ou todos eles podem também estar presentes em outros problemas. Seu dentista poderá ajudá-lo a fazer um diagnóstico preciso, através de uma história médica e dentária completa, um exame clínico e de radiografias adequadas.
Alguns dos sintomas mais comuns de D-ATM são:
• Dores de cabeça (freqüentemente parecidas com enxaquecas), dores de ouvido, dor e pressão atrás dos olhos;
• Um “clique” ou sensação de desencaixe ao abrir ou fechar a boca;
• Dor ao bocejar, ao abrir muito a boca ou ao mastigar;
• Mandíbulas que “ficam presas”, travam ou saem do lugar;
• Flacidez dos músculos da mandíbula;
• Uma brusca mudança no modo em que os dentes superiores e inferiores se encaixam.
Como tratar a D-ATM?
Embora não exista uma cura para a D-ATM, existem diversos tratamentos que você pode seguir para diminuir consideravelmente os sintomas. Seu dentista pode recomendar um ou mais dos seguintes tratamentos:
• Reduzir os efeitos prejudiciais de travamento ou rangido, por meio de um aparelho, algumas vezes chamado de placa de mordida ou “splint”. Este aparelho, feito sob medida para sua boca, se encaixa nos dentes superiores e ao deslizar sobre os dentes inferiores impede estes dentes inferiores de ranger contra os dentes superiores;
• Aprender técnicas de relaxamento para ajudar a controlar a tensão muscular na mandíbula. Seu dentista pode sugerir que você procure condicionamento e aconselhamento para ajudar a evitar o estresse;
• Quando partes da mandíbula são afetadas e os tratamentos não surtiram efeito, uma cirurgia na articulação pode ser recomendada.

Emergências
- Faça bochechos vigorosos com água morna.
- Use fio dental para remover quaisquer alimentos presos entre os dentes. Se houver inchaço, coloque uma compressa fria no lado de fora da bochecha. Não utilize nada quente ou coloque medicamentos no dente ou gengiva dolorida.
- Vá ao dentista o mais rápido possível.
Objetos presos entre os dentes
- Tente remover o objeto com fio dental. Guie o fio dental cuidadosamente para evitar machucar a gengiva.
- Se você não puder remover o objeto, procure um dentista.
- Não tente tirar o objeto com um instrumento afiado ou pontiagudo.
Perda de dentes
Dentes de Leite. Leve a criança e o dente imediatamente a um dentista.
- Coloque o dente em um recipiente com leite, água salgada ou com saliva da criança.
- Se estes não estiverem disponíveis, use água.
Se você não puder ir a um dentista imediatamente,
- Enxágüe levemente o dente em água morna. Não toque na raiz.
- Para dente de leite: Não tente colocar um dente de leite de volta na cavidade. Coloque em leite frio ou em água e leve-o com você quando for ao dentista.
- Para dente permanente: Com cuidado, insira o dente novamente de volta em seu lugar.
- Vá ao seu dentista, se possível, nos próximos 30 minutos.
Quebra de dentes
- Suavemente retire a sujeira ou os fragmentos de dentes da área ferida e limpe com água morna.
- Coloque compressa fria na face, no local do dente ferido, para minimizar o inchaço.
- Procure imediatamente um dentista.
- Aplique pressão diretamente na área da hemorragia utilizando um pano limpo.
Mordida na língua ou na bochecha
- Aplique pressão diretamente na área da hemorragia utilizando um pano limpo.
- Se houver inchaço, aplique compressas frias.
- Se o sangramento continuar, procure um pronto socorro.
Como um dentista trata um ...?
Dente lascado – Se não sentir dor e a lasca for pequena, fica ao seu critério decidir quando e como o dente deverá ser tratado. Dependendo do tamanho da lasca, ela pode ser suavizada ou corrigida cosmeticamente. Outras opções podem ser o uso de facetas, coroas ou restaurações. Peça ao seu dentista para lhe explicar sobre cada uma delas. Se uma restauração ou dente artificial for lascado, estes deverão ser substituídos.
Dente fraturado ou trincado – Dentes fraturados ou trincados devem ser restaurados assim que possível, para se evitar danos posteriores. Pode ser necessário um tratamento de canal ou fazer a extração do dente. Se a fratura atingir o esmalte e a dentina do dente, uma coroa, em geral, é o melhor tratamento. Lembre-se de que as fraturas nem sempre são visíveis, mesmo por meio de radiografias. Os sintomas podem ser dor durante a mastigação e sensibilidade a alimentos e bebidas frias, em alguns casos ate a bebidas quentes, bem como ao ar, e estes sintomas podem se intensificar com o tempo.
Dentes irremediavelmente perdidos, ou seja por uma extração realizada por um dentista ou acidentalmente arrancados, devem ser substituídos. Isto evita problemas como dificuldade de mastigação e de fala, alteração de posição entre os dentes remanescentes, disfunção da articulação temporomandibular (ATM) causados pela mastigação no lado onde há mais dentes e um enfraquecimento do maxilar. As opções para a substituição dos dentes podem ser próteses fixas, próteses removíveis ou implantes.
Mandíbula quebrada – Se suspeitar que você ou qualquer outra pessoa esteja com a mandíbula quebrada, não a movimente. A mandíbula deve ser mantida em posição com um lenço, gravata ou toalha amarrada em volta do queixo e por cima da cabeça. Compressas frias devem ser utilizadas para reduzir o inchaço, se houver. Dirija-se imediatamente à sala de emergência de um hospital e chame seu dentista.

Enxaguante Bucal - Saúde Bucal
A cárie dentária e doenças gengivais são causadas principalmente pela placa bacteriana que nada mais é do que uma película esbranquiçada que adere-se às superfícies dos dentes e é formada principalmente por bactérias e restos alimentares.
Se a placa bacteriana não for removida ela se calcifica formando o tártaro.
Portanto, uma boa higiene bucal é muito importante para evitar o surgimento da cárie dentária e problemas gengivais.
A higiene bucal deve ser feita utilizando escovas dentárias com cerdas macias e pontas arredondadas, e um creme dental que contenha flúor. É importante realizar a técnica de escovação dentária correta e realizar movimentos suaves para evitar ferimento nas gengivas.
Complementando a escovação dentária, deverá ser utilizado o fio dental e o enxaguatório bucal com flúor.
O enxaguatório bucal com flúor é muito importante principalmente à noite, pois é nesse período que as bactérias se tornam oportunistas e atacam a superfícies dos dentes causando cárie dentária e problemas gengivais.
Os benefícios dos enxaguatórios são muitos, dentre os quais podemos destacar: ajudam a eliminar as bactérias que causam a gengivite, a placa bacteriana, o mau hálito e a cárie dentária, atuando onde a escova dentária não alcança, pois permanece por mais tempo na boca uma vez que não enxaguamos a boca após a utilização.
Existem diversos enxaguatórios bucais no mercado com diversas formulações e diversos sabores, mas é importante que o mesmo contenha flúor para ajudar a reduzir o risco de cárie dentária.
É importante que, em caso de dúvidas, seu dentista seja consultado para que ele possa esclarecê-las e indicar o enxaguatório bucal ideal para o seu caso.
Portanto, não se esqueça que o enxaguatório bucal é um complemento importante da sua escovação dentária diária, devendo ser utilizado pelo menos uma vez ao dia.
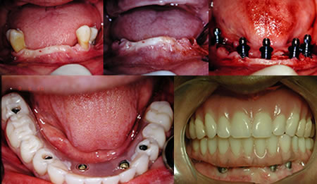
Enxertos Ósseos
Técnica é utilizada para reconstruir a área que perdeu altura ou espessura
Pessoas que perderam um ou mais dentes devido a acidentes ou extrações sempre pensam em reconstituir sua arcada dentária para poderem sorrir sem constrangimento. Para isso, o implante seria uma boa opção, mas em alguns casos, somente essa técnica não é suficiente.
Algumas pessoas, quando perdem os dentes, também sofrem com a atrofia, ou reabsorção óssea, os ossos da região ficam com menos espessura e altura e pode ocorrer o aumento do tamanho do seio maxilar, o que impede a colocação de implante. Além disso, as expressões ficam limitadas, a boca murcha e falta também pode ser alterada.
Para que o paciente possa sorrir novamente e ter uma boa estética bucal, o enxerto devolve o volume perdido ao osso atrofiado e em seguida, o dentista pode fazer o número de implantes necessários. Ele pode ser feito com material do próprio paciente (autógeno), retirado de animais – enógeno (osso liofilizado bovino - genox), de bancos de ossos (transplante ósseo) ou usar materiais vítreos sintéticos – bioss (alógeno) e precursor ósseo (hidroxiapatita sintética).
Uma das vantagens do enxerto com ossos de um banco de tecidos é a rapidez, a cirurgia dura cerca de 20 a 30 minutos, dependendo do tamanho da área . O tempo operatório e o pós-cirúrgico são melhores, já que a anestesia é local e o procedimento é realizado no consultório do dentista.
O Objetivo é aumentar a quantidade óssea em altura para permitir a colocação de um implante dentário mais longo.
É realizado com a realização de uma pequena abertura na gengiva na região lateral do defeito ósseo. No interior dessa abertura é colocado uma quantidade variável de material precursor de regeneração óssea. A cirurgia é rápida e normalmente não demora mais que 30 minutos com um cirurgião experiente.
Deve-se esperar um tempo entre 4 a 9 meses (a ser avaliado pelo cirurgião), para realização dos implantes porém pode-se realizar exames radiográficos antes para verificar o andamento da cicatrização.
Materiais utilizados em enxerto
Nos dias de hoje temos uma variedade de materiais que podem ser utilizados para enxertia do seio maxilar:- osso liofilizado bovino - Genox
- osso autógeno (da própria pessoa)
- hidroxiapatita sintética (precursor ósseo)
- osso homólogo de banco de ossos (transplante ósseo)
- materiais vítreos sintéticos - Bioss
Estudos mostram que todos os materiais são favoráveis para este tipo de enxerto, dependendo somente da preferência do cirurgião.
Erosão Dentária
A origem da exposição ao ácido pode ser intrínseca (de dentro do seu corpo) ou extrínseca (de fora do seu corpo).
Nas pessoas em risco de exposição intrínseca incluem-se as que sofrem de refluxos gástricos ou de vômitos recorrentes. Ácidos extrínsecos podem ser encontrados na maior parte dos alimentos e bebidas do dia-a-dia.
Estes incluem:
- Bebidas como sumos de fruta, vinho e bebidas com gás
- Alimentos tais como pickles e citrinos
- Medicamentos, ex: Vitamina C, aspirina entre outros
A saliva também desempenha um papel importante na diminuição do efeito dos ácidos no interior da boca. É o sistema de limpeza natural da boca. Dilui e remove particulas e ácidos provenientes dos alimentos. Se tem frequentemente a boca seca, a erosão pode danificar os seus dentes com maior rapidez.
As pessoas com elevado risco de ter erosão dentária são aquelas que:
- Ingerem uma quantidade significativa de alimentos e bebidas ácidas.
- Têm pouca salivação ou boca seca
- Ingerem pouca água
- Ingerem bastantes bebidas que contêm cafeína
- Se encontram frequentemente desidratados graças ao estilo de vida ativo que levam.
Aqui estão algumas dicas úteis para o controle da erosão dentária:
Beber bastante água
Beber leite com sabor ou bebidas não ácidas ao invés de bebidas com gás, de fruta e licores.
Beber rapidamente ou através de uma palhinha
Limitar o consumo de alimentos e bebidas ácidas às refeições principais
Evitar a escovação nos primeiros 60 minutos após comer ou beber alimentos e/ou bebidas ácidas.
Escovar os dentes duas vezes ao dia com um dentífrico que contenha flúor
Pergunte ao seu dentista se é necessário realizar um tratamento adicional à base de flúor
Visite o seu dentista e faça check-ups regularmente de modo a ser possível detectar sinais de erosão com antecedência.
Extrações
Por que os dentes são extraídos?
Os dentes são extraídos por vários motivos:
- Uma cárie muito profunda no dente;
- Uma infecção que destruiu uma grande porção do dente ou do osso adjacente;
- Não existe espaço suficiente para todos os dentes em sua boca.
Como são extraídos os dentes?
Antes de extrair um dente, seu dentista fará uma revisão completa no seu histórico médico e dentário e providenciará as radiografias necessárias.
As radiografias revelam o comprimento, formato e posição do dente e osso adjacente. Com base nessas informações, seu dentista poderá avaliar o grau de dificuldade do procedimento e decidir se deverá encaminhá-lo para um especialista, no caso, um cirurgião-dentista.
Antes da extração, a área em volta do dente será anestesiada. Os dentistas utilizam um anestésico local para amortecer a área da boca onde a extração ocorrerá.
Na extração simples, uma vez que a área é anestesiada, o dente é descolado do osso com um tipo de alavanca, e então extraído com um fórceps dentário. Seu dentista também poderá suavizar e remodelar o osso que sustenta o dente. Terminada esta etapa, ele poderá optar por fechar a área com alguns pontos cirúrgicos.
É essencial manter a área limpa e prevenir infecções logo após a extração de um dente. Seu dentista pedirá que você morda levemente um pedaço de gaze seca e esterilizada, que você deverá manter no local durante 30 a 45 minutos, a fim de estancar o sangramento enquanto o sangue não coagula. Nas 24 horas seguintes, você não deve fumar, enxaguar a boca vigorosamente ou limpar os dentes próximos ao local da extração. Pode-se esperar um pouco de dor e desconforto logo após uma extração. Em alguns casos, seu dentista poderá prescrever-lhe um analgésico. Colocar gelo sobre a face durante 15 minutos também pode ajudar. Deve-se, também, beber água com um canudo, limitar atividades bruscas e bebidas quentes. No dia seguinte à extração, seu dentista pode sugerir que você comece a lavar sua boca gentilmente com água morna e sal (não engula a água). Em circunstâncias normais, o desconforto deve diminuir num período de três dias a duas semanas. No caso de dor intensa ou prolongada, inchaço, sangramento ou febre, ligue para seu dentista imediatamente.
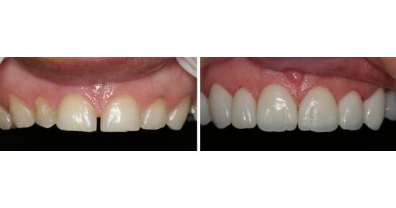
Facetas
As facetas em porcelana ultrafinas (lentes de contato) são mais uma opção para as pessoas que querem ter um sorriso mais bonito e uniforme. Com elas a estrutura dental é menos desgastada e o paciente não sente dor, já que elas são coladas dos dentes.
As chamadas lentes de contato são um tipo de faceta de porcenana, que tem o diferencial de serem muito finas (0,2mm) e exigir um mínimo desgaste dentário. As facetas comuns exigem ao menos 1mm de desgaste.
As facetas ultra- finas permitem a solução de diversos problemas estéticos nos dentes como manchas e descoloração. Além disso, elas podem fechar espaços entre os dentes, melhorar um sorriso sem o uso de aparelho ortodôntico.
As lentes de contato para os dentes possuem uma grande resistência ao desgaste e não sofrem com alterações de cores, deixando o resultado mais natural. Para manter a integridade da faceta, o paciente deve manter sua higiene bucal e tomar cuidado com alimentos muito duros.
Como alternativa às facetas ultra-finas podemos realizar facetas em resina aplicada diretamente sobre o dente (técnica direta).
Fissura Labial
A fissura palatina ocorre quando há uma abertura direta entre o palato, ou céu da boca, e a base do nariz. Durante a gestação, o maxilar superior do bebê não se fecha como deveria, deixando uma falha. A fissura palatina é um problema mais grave que a fissura labial, embora ambos requeiram uma cirurgia corretiva.
Dificuldades de alimentação, de respiração e de fala, além de problemas psicológicos são algumas das dificuldades enfrentadas por uma criança com fissura labial ou palatina. A fim de se corrigir esse problema, é aconselhável tratar-se com uma equipe médica, incluindo um cirurgião plástico, cirurgião bucomaxilo-facial, otorrinolaringologista (especialista em orelha, nariz e pescoço), cirurgião-dentista e um ortodontista.
Como saber se o meu bebê tem uma fissura labial ou fissura palatina?
O obstetra que fizer o seu parto provavelmente lhe dirá imediatamente se o bebê tem uma fissura labial ou palatina. A fissura labial é facilmente reconhecível. Uma fissura palatina pode variar em tamanho, desde uma pequena fenda até um grande orifício no céu da boca, e se tornará aparente logo após o nascimento, se não de imediato. Quanto um bebê com fissura palatina tenta se alimentar, os alimentos líquidos podem sair pelo seu nariz - problema que pode ser controlado com o auxílio de mamadeiras especiais e outros cuidados , até que o bebê tenha idade suficiente para ser submetido à cirurgia.
Como são tratados os casos de fissura labial ou fissura palatina?
Fechar uma fissura labial através de cirurgia é mais simples do que corrigir uma fissura palatina. O procedimento é geralmente realizado nos três ou quatro primeiros meses de vida e a cicatriz tende a desaparecer com o passar do tempo.
Dependendo da gravidade da fissura palatina, podem ser necessárias cirurgias múltiplas no decorrer de um longo período. Um cirurgião plástico e/ou bucomaxilo-facial realizam uma cirurgia corretiva na face, enquanto que um cirurgião-dentista, cirurgião geral, otorrinolaringologista e/ou ortodontista fazem aparelhos para corrigir quaisquer defeitos.
Fluor
O que é flúor?
O flúor é um mineral natural encontrado em toda a crosta terrestre e largamente distribuído pela natureza. Alguns alimentos contêm flúor, assim como a água fornecida por algumas empresas de serviço público.
O flúor é geralmente adicionado à água potável para ajudar a reduzir a incidência de cáries nos dentes. Na década de 30, pesquisadores encontraram pessoas que cresceram bebendo água naturalmente fluoretadas. Desde então, os estudos têm mostrado repetidamente que quando o flúor é adicionado ao suprimento de água da comunidade, a incidência de cárie diminui. A Associação Brasileira de Odontologia, a Organização Mundial de Saúde e o Ministério da Saúde, dentre muitas outras organizações têm endossado o uso de flúor nos suprimentos de água, devido ao seu efeito preventivo contra a cárie.
Como o flúor atua?
O flúor ajuda a prevenir as cáries de duas maneiras distintas:
- O flúor se concentra nos ossos em crescimento e nos dentes em desenvolvimento das crianças, ajudando a endurecer o esmalte dos dentes de leite e permanentes que ainda não nasceram.
- O flúor ajuda a endurecer o esmalte dos dentes permanentes que já se formaram.
O flúor trabalha durante os processos de desmineralização e remineralização que ocorrem naturalmente em sua boca.
- Sua saliva contém ácidos que causam a desmineralização nos dentes. Estes ácidos são liberados após a alimentação.
- Em outros momentos – quando sua saliva está menos ácida – ocorre justamente o oposto, a reposição do cálcio e do fósforo que mantém seus dentes resistentes. Este processo é chamado de remineralização. Quando o flúor está presente durante a remineralização, os minerais depositados são mais duros do que seriam sem o flúor, ajudando a fortalecer seus dentes e a prevenir a dissolução durante a próxima fase de desmineralização.
Como saber se estou recebendo quantidade suficiente de flúor?
Se a água que você bebe contiver flúor, então somente a escovação regular utilizando um creme dental com flúor será suficiente para adultos e crianças com dentes saudáveis, com um baixo risco de cáries.
Se a água de sua comunidade não for fluoretada, nem contiver uma quantidade suficiente de flúor natural (uma parte em um milhão é considerada ideal), então seu dentista ou pediatra deve receitar suplementos de flúor para suas crianças tomarem diariamente. Seu dentista ou pediatra poderá dizer a quantidade correta de flúor para sua família, por isso não deixe de pedir sua orientação.
Se a água que você consome vier de uma rede pública de abastecimento, você poderá saber se ela contém flúor ligando para a empresa de água local. Se a sua água vier de um poço particular, você poderá analisá-la em um laboratório de teste ambiental independente e que ofereça este tipo de serviço.
Se eu beber água mineral, estarei obtendo flúor suficiente?
Se a água mineral for sua fonte principal de água de consumo, você poderá não estar obtendo flúor em quantidade suficiente. Enquanto o flúor é adicionado na água de abastecimento público em 60% dos municípios do Brasil para reduzir a cárie dental, a maioria das águas minerais disponíveis no mercado não contém níveis ideais de flúor.
Diversos fatores são importantes para saber se você está recebendo ou não flúor suficiente, entre eles:
- O nível de flúor na sua água mineral, que pode variar muito entre as diferentes marcas. Se a quantidade de flúor não aparecer no rótulo, peça informações à empresa responsável.
- A quantidade de água mineral que você bebe durante o dia.
- Se você usa a água mineral para beber, cozinhar ou preparar sopas, sucos e outras bebidas.
- Se você também bebe água fluoretada na escola, trabalho ou outros lugares.
Se você bebe principalmente água mineral, você deve conversar com seu dentista sobre a necessidade de tratamentos complementares com flúor -especialmente se tiver filhos. Seu dentista pode recomendar complementação de flúor se achar que seu filho não está recebendo níveis adequados de flúor.
Adultos e flúor
Adultos podem se beneficiar com o flúor?
Pesquisas recentes mostram que todos podem se beneficiar com o uso de flúor. Especialistas costumavam achar que o flúor funcionava principalmente por fortalecer os dentes enquanto esses estavam ainda em desenvolvimento. Isso significava que as crianças eram o foco dos esforços de fluoretação. Hoje, estudos mostram que o flúor tópico - aquele presente em cremes dentais, enxaguatórios bucais e tratamentos com flúor - ajuda a prevenir o aparecimento de cáries em pessoas de todas as idades.
Como posso saber se preciso de tratamento especial com flúor?
Se a água que você bebe é fluoretada, então a escovação regular com creme dental com flúor é considerada suficiente para a maioria dos adultos com dentes saudáveis. 60% dos municípios do Brasil adicionam flúor na água de abastecimento para ajudar a reduzir a cárie dental. Você pode descobrir se a água da sua cidade é fluoretada ligando para a companhia de abastecimento ou mandando analisar a água, caso ela seja proveniente de uma fonte particular.
Pessoas que bebem água mineral, e aquelas com as seguintes condições, devem conversar com o dentista sobre tratamentos especiais com flúor:
- Se você estiver tomando medicamentos que provoquem boca seca ou tem uma doença que cause boca seca. Sem saliva para neutralizar os ácidos na sua boca e remover partículas de alimentos, você fica mais suscetível à cárie dental.
- Se suas gengivas retraíram ou se descolaram dos dentes. Isso cria mais espaço para as bactérias se alojarem e facilita o surgimento da cárie dental.
- Se você usa aparelho ortodôntico. Os aparelhos ortodônticos aprisionam grande quantidade de bactérias que podem levar à cárie.
- Se você fez radioterapia na cabeça ou pescoço. A radiação prejudica as glândulas salivares, causando boca seca.
Quais são os diferentes tipos de tratamento com flúor?
Você pode se submeter a tratamento com flúor no consultório do dentista. No tratamento feito no consultório, o dentista seca sua boca e aplica uma solução, espuma ou verniz. Alguns dentistas colocam um gel ou espuma dentro de uma moldeira que você utiliza por alguns minutos. Pede-se que você não coma nem beba nada e evite fumar por 30 minutos após a aplicação.
Independentemente do risco, todos adultos devem usar creme dental com flúor, que teve sua eficácia comprovada na prevenção da cárie dental.
Fumo
Os principais danos à boca causados pelo fumo são: o câncer bucal, a doença periodontal e a halitose, manchas nos dentes, língua e mucosas.
As defesas do organismo diminuem, tanto sistêmicas quanto locais, o que prejudica a cicatrização de feridas e a osteo-integração de implantes dentários.
O fumo causa diminuição do fluxo salivar do paciente. A saliva é muito importante para a proteção da boca, do epitélio gastrointestinal e da orofaringe. Nela estão substâncias que participam da limpeza da boca e do equilíbrio da microflora bucal. Sua diminuição causa mau hálito, aumenta o risco de cáries e a propensão à candidose bucal. O cigarro diminui a secreção salivar, deixa uma sensação de boca seca, denominada xerostomia, o que provoca dificuldade na mastigação, deglutição e fonação, além de tornar a mucosa bucal mais sensível podendo surgir feridas na boca e fissuras na língua.
Os produtos da combustão do tabaco, os odores da fumaça inalada são expelidos durante a fala e a respiração causando mau hálito.
O uso de cigarro, charuto, cachimbo, maconha ou tabaco mascado, juntamente a uma má higiene da boca, da língua e à presença de doença periodontal, torna o hálito desagradável.
Fumantes têm maior probabilidade de desenvolverem Doença Periodontal, que é uma inflamação da gengiva ou dos tecidos de suporte dos dentes, que pode levar à reabsorção óssea alveolar, ao aumento da mobilidade dental, à exposição das raízes e perda dos dentes. Sua principal causa é o acúmulo de placa bacteriana nas superfícies dos dentes, composta principalmente por bactérias que produzem toxinas destruindo os tecidos de suporte dos dentes o que causa gengivite e periodontite. Fumantes têm mais acúmulo de placa do que não-fumantes e as bactérias presentes nessa placa são mais agressivas, causando formas mais graves de doença periodontal.
A gravidade da Doença Periodontal está associada com a duração e a quantidade de cigarros fumados por dia.

Mais importante que tratar é prevenir, orientar o paciente dos riscos para sua saúde e estimula-lo a parar de fumar. O fumante deve realizar visitas ao dentista periodicamente, fazendo um acompanhamento dos dentes, gengivas e principalmente da mucosa bucal. Existem tratamentos periodontais e restauradores para limitar os danos causados pelo cigarro e pela má higiene bucal. As manchas nos dentes podem ser removidas por limpeza profissional e clareamento dental, desde que o paciente pare de fumar.
Se for necessário, seu dentista irá encaminhá-lo a um Estomatologista, que é dentista especializado, capaz de identificar lesões cancerizáveis e realizar biópsias ou coleta de células da lesão para um correto diagnóstico e realização dos tratamentos necessários.
O auto exame é outra arma importante que o paciente tem na prevenção do câncer bucal. Ele é feito pelo próprio paciente diante de um espelho, em ambiente iluminado, inspecionando-se todas as superfícies da boca, principalmente parte posterior da língua e assoalho bucal. O paciente deve procurar:
- Feridas ou úlceras que não cicatrizem por mais de 15 dias;
- Manchas ou placas esbranquiçadas que não são removidas por raspagem;
-Manchas ou placas avermelhadas;
- Lesões nodulares, endurecidas;
- Inchaços na boca ou no pescoço.
Esse exame não substitui o exame feito por um profissional especializado. Mesmo se você não encontrar nenhuma alteração, não deixe de consultar um cirurgião-dentista pelo menos uma vez ao ano.
Fonte: IDMED

Gengivite
Gengivite - uma inflamação da gengiva - é o estágio inicial da doença da gengiva e a mais fácil de ser tratada. A causa direta da doença é a placa - uma película, grudento e sem cor de bactérias que se forma, de maneira constante, nos dentes e na gengiva.
Se a placa não for removida pela escovação e uso de fio dental diários, ela produz toxinas (venenos) que irritam a mucosa da gengiva causando a gengivite. Neste estágio inicial da doença da gengiva, os danos podem ser revertidos, uma vez que o osso e o tecido conjuntivo que segura os dentes no lugar ainda não foram atingidos. Entretanto, se a gengivite não for tratada, ela pode evoluir para uma periodontite e causar danos permanentes aos dentes e mandíbula/maxilar.
Como sei que tenho gengivite?
Os sintomas clássicos da gengivite incluem gengivas vermelhas, inchadas e sensíveis que podem sangrar durante a escovação. Outro sintoma de doença é o recuo ou retração da gengiva, conferindo aos dentes uma aparência alongada. A doença da gengiva pode formar bolsas entre os dentes e a gengiva, onde se acumulam restos de comida e placa. Algumas pessoas têm mau hálito freqüente ou sentem gosto ruim na boca, mesmo se a doença não estiver em estágio avançado.
Como posso prevenir a gengivite?
Uma boa higiene bucal é essencial. A limpeza profissional também é extremamente importante, pois uma vez que a placa se acumula e endurece (ou torna-se tártaro), apenas o dentista ou um higienista podem removê-la.
Você pode prevenir a gengivite pela:
- A correta escovação e uso apropriado do fio dental para remover placas e restos, e do controle do aparecimento de tártaro.
- Alimentação correta para garantir nutrição adequada para o osso da mandíbula/maxilar e dos dentes.
- Evitar cigarros e outras formas de tabaco.
- Ir ao dentista regularmente.
Gravidez
Que posso fazer para garantir uma gravidez saudável?
O melhor conselho que se pode dar a uma mulher que está pensando em engravidar é ir ao dentista e resolver todos os problemas bucais, antes de ficar grávida. Durante a gestação, seus dentes e gengivas precisam de cuidados especiais. Uma higiene bucal adequada, o uso diário do fio dental, uma alimentação equilibrada e visitas periódicas ao dentista são medidas que ajudam a reduzir os problemas dentários que acompanham a gestação.
Que problemas orais podem ocorrer durante a gravidez?
Os estudos revelam que um grande número de mulheres tem gengivite durante a gravidez, com acúmulo de placa bacteriana que se deposita nos dentes irritando a gengiva. Os sintomas são gengivas avermelhadas, inflamadas e com sangramento. A gengivite ocorre com maior freqüência durante a gravidez porque o aumento dos níveis hormonais torna os tecidos gengivais mais sensíveis às substâncias irritantes da placa bacteriana. Contudo, é a placa bacteriana, e não os hormônios, a maior causa da gengivite.
Mantendo seus dentes sempre limpos, especialmente na região do colo dentário, área em que a gengiva e os dentes se encontram, você pode reduzir significativamente ou até evitar a gengivite durante a gravidez. E além disso você pode ajudar ainda mais a saúde de seus dentes, substituindo os doces por alimentos integrais tais como queijo, verduras e frutas frescas.
Em primeiro lugar, não deixe de informar ao dentista que você está grávida. É melhor marcar uma consulta entre o quarto e sexto mês de gravidez porque os três primeiros meses são os mais importantes no desenvolvimento da criança.
No último trimestre da gravidez, o estresse associado com a consulta ao dentista pode aumentar a incidência de complicações pré-natais.
Na maior parte dos casos, radiografias, anestésicos dentais, medicação contra a dor e antibióticos (especialmente a tetraciclina) não são receitados durante o primeiro trimestre da gravidez, a não ser que sejam absolutamente necessários. Além disso, sentar-se em uma cadeira de dentista nos últimos três meses da gestação pode ser algo muito desconfortável. Há também evidências de que as gestantes podem ser mais suscetíveis à náusea. Mas, não se preocupe, pois seu dentista está preparado para ajudá-la nesta situação.
Se precisar fazer uma consulta de emergência, avise o consultório, antes de chegar lá, que você está grávida. Informe a respeito de qualquer tensão que estiver sofrendo, abortos naturais anteriores e medicamentos que esteja tomando. Tudo isso pode influenciar a forma pela qual seu dentista vai atendê-la e tratá-la. É bem provável que seu dentista entre em contato com seu médico, antes de iniciar qualquer tratamento.
Se tiver qualquer dúvida, insista para que seu dentista fale com seu médico. E se o dentista prescrever qualquer medicamento não aumente a dosagem recomendada, mesmo no caso de uma simples aspirina.
Pré natal
Siga estes passos para garantir uma boca saudável.
- Faça um "checkup" dental.
Faça uma limpeza e avaliação de seus dentes. Tenha certeza de que todo tratamento seja feito. Os germes que causam as cáries podem passar para seu bebê depois de ele nascer. - Escove os dentes três vezes ao dia
Escove os dentes pelo menos três vezes ao dia. Use uma escova macia. Tenha certeza de colocar as cerdas da escova no local onde a gengiva e os dentes se encontram. É aí que a gengivite começa. - Passe o fio dental diariamente.
Passe o fio dental diariamente para limpar entre os dentes, onde a escova não alcança. - Limite o número de vezes que você ingere doces ou lanches a base de amido no dia. Doces ou lanches a base de amido podem fazer com que seus dentes sofram "ataques ácidos". Doces e refrigerantes podem causar cáries. Coma mais frutas e legumes.

Halitose
Muitas são as causas deste mal, incluindo:
- Higiene bucal inadequada (falta de escovação adequada e falta do uso do fio dental);
- Gengivite e Periodontite;
- Ingestão de certos alimentos como, por exemplo, alho ou cebola;
- Tabaco e produtos alcoólicos;
- Boca seca (causada por certos medicamentos, por distúrbios e por menor produção de saliva durante o sono);
- Doenças sistêmicas tais como câncer, diabetes, problemas com o fígado e rins.
Como é previsível, quanto menor a higiene bucal, mais detritos alimentares permanecem na cavidade oral, e mais intenso é o mau hálito. Costuma-se supervalorizar o papel do estômago na halitose, porém, raramente esta é a causa de mau hálito.
Uma forma de saber se você tem mau hálito é cobrir sua boca e nariz com a mão, exalar e sentir o hálito. Uma outra forma é perguntar a alguém em quem você confia como está o seu hálito. Mas, não se esqueça de que muitas pessoas têm este problema quando acordam de manhã, como resultado de uma produção menor de saliva durante a noite, o que permite os ácidos e outras substâncias se deteriorarem no interior da boca. Medidas tais como escovar bem os dentes e língua, e usar fio dental antes de dormir e ao se levantar sempre ajudam a eliminar o mau hálito matinal.
- Escove bem três vezes ao dia e use fio dental diariamente para remover a placa bacteriana e as partículas de alimento que se acumulam todos os dias. Escovar a língua também ajuda a diminuir o mau hálito.
- Remova a dentadura antes de dormir, limpando-a bem antes de recolocá-la de manhã.
- Gargarejos com anti-sépticos orais, principalmente à noite.
- Ingestão de líquidos para evitar desidratação e ressecamento da boca.
- Chicletes sem açúcar aumentam a salivação e ajudam a ‘lavar” a boca. 5 minutos de mastigação são suficientes.
- Evitar álcool, café e cigarro.
- Evitar longos períodos de jejum.
- Alimentar-se bem no café da manhã.
- Visite seu dentista periodicamente para fazer uma revisão e uma limpeza de seus dentes.
Como a grande maioria dos casos têm origem na boca, o dentista costuma ser o melhor especialista. Porém, o otorrinolaringologista pode ser o melhor médico nos casos de halitose pelas amígdalas, faringe ou nariz. (Fonte: Colgate)
Herpes Labial
Os cuidados para não adquirir a doença devem ser constantes desde a primeira infância. As mães não devem deixar pessoas com lesões labiais beijarem seus filhos, não tomar nada no mesmo copo do doente e quando possível, usar copos descartáveis além de cuidar da higiene e material de uso pessoal das crianças.
Seria aconselhável que o dentista não atendesse pacientes com lesões labiais de herpes para evitar a transmissão da doença, recomendar o enxágüe bucal com antisépticos adequados e ainda encaminhá-lo a um profissional médico para o diagnóstico e tratamento.
Outras doenças como aftas, câncer da mucosa labial e oral não são transmissíveis, mas podem atrapalhar o trabalho odontológico.Orientações para evitar a Herpes Labial
- Não beijar pessoas com feridas nos lábios.
- Usar batom com filtro solar para hidratar os lábios.
- Evitar emprestar objetos de uso pessoal.
Higiene Bucal
Hálito puro e sorriso saudável são o resultado de uma boa higiene bucal. Isto é, com uma higiene bucal adequada:
- Seus dentes ficam limpos e livres de resíduos alimentares;
- A gengiva não sangra nem dói durante a escovação e o uso do fio dental;
- O mau hálito deixa de ser um problema permanente.
Seu dentista pode ensiná-lo a usar técnicas corretas de higiene bucal e indicar as áreas que exigem atenção extra durante a escovação e o uso do fio dental.
Como garantir uma boa higiene bucal?
Uma boa higiene bucal é uma das medidas mais importantes que você pode adotar para manter de seus dentes e gengivas em ordem. Dentes saudáveis não só contribuem para que você tenha uma boa aparência, mas são também importantes para que você possa falar bem e mastigar corretamente os alimentos. Manter uma boca saudável é importante para o bem-estar geral das pessoas.
Os cuidados diários preventivos, tais como uma boa escovação e o uso correto do fio dental, ajudam a evitar que os problemas dentários se tornem mais graves. Devemos ter em mente que a prevenção é a maneira mais econômica, menos dolorida e menos preocupante de se cuidar da saúde bucal e que ao se fazer prevenção estamos evitando o tratamento de problemas que se tornariam graves.
Existem algumas medidas muito simples que cada um de nós pode tomar para diminuir significativamente o risco do desenvolvimento de cáries, gengivite e outros problemas bucais.
Essas medidas são:
- Escovar bem os dentes no mínimo três vezes ao dia e usar fio dental diariamente.
- Ingerir alimentos balanceados e evitar comer entre as principais refeições.
- Usar produtos de higiene bucal, inclusive creme dental, que contenham flúor.
- Usar enxagüante bucal com flúor, se seu dentista recomendar.
- Garantir que as crianças abaixo de 12 anos tomem água potável fluoretada ou suplementos de flúor, se habitarem regiões onde não haja flúor na água.
Não é fácil decidir qual o tipo de escova usar, já que o mercado oferece inúmeros tipos, formas e tamanhos. Contudo, lembre-se de que:
- A maior parte dos dentistas concorda que as escovas macias são mais eficientes para remover a placa bacteriana e os resíduos de alimentos. De preferência, a escova deve também ter cabeça pequena para poder mais facilmente alcançar todas as áreas da boca, como por exemplo, os dentes posteriores.
- Com relação ao tipo de cabo (por exemplo, flexível ou não), formato da cabeça da escova (retangular, cônica, etc.) e estilo de cerdas (com pontas planas, arredondadas, em diferentes níveis, etc.), escolha o que for mais confortável para você. O importante mesmo é usar uma escova que se ajuste bem à sua boca e alcance todos os dentes.
- Para muitas pessoas, especialmente aquelas que têm dificuldades para escovar ou destreza manual limitada, a escova elétrica é uma boa alternativa porque limpa melhor os dentes.
Para preservar a sua escova dental e a sua saúde, certifique-se de deixá-la secar completamente entre um uso e outro. As escovas podem ser meios de cultura para germes, fungos e bactérias, que depois de um tempo podem se multiplicar em níveis significantes. Depois de usar sua escova, agite-a vigorosamente sob água corrente e guarde-a em pé, de forma que possa secar.
Para evitar que os vírus da gripe e resfriado se propaguem de uma escova para outra, tente evitar que sua escova se encoste em outras quando guardada. Um porta-escovas tradicional com fendas para manter diversas escovas em pé é um investimento valioso para a saúde de sua família.
Troque sua escova de dentes a cada três meses ou quando perceber que ela começa a ficar desgastada. Além disso, é muito importante trocar de escova depois de uma gripe ou resfriado para diminuir o risco de nova infecção por meio dos germes que aderem às cerdas.
Uma caixa plástica para escova evitará que as cerdas fiquem espremidas ou achatadas no seu kit de viagem. Após a escovação, no entanto, você deve deixar a escova secar exposta ao ar, para ajudar a reduzir a proliferação de germes.
Hipersensibilidade Dentinaria
Com o tempo, o esmalte pode desgastar-se, reduzindo a proteção. Também com o tempo, a gengiva pode retrair-se, expondo a raiz do dente.
A dentina tem um grande número de poros ou tubos microscópicos (túbulos) que vão da face externa do dente até a polpa, no centro. Quando a dentina está exposta, esses túbulos podem ser estimulados por mudanças de temperatura ou certos alimentos.
A exposição da dentina por ocorrer devido a vários fatores. Os fatores mais comuns são:
- Retração gengival devido à idade ou escovação inadequada;
- Bebidas ácidas (como refrigerantes) que causam a erosão do esmalte e a exposição da dentina;
- Bruxismo – que, na verdade, faz com que todos ou a maior parte dos dentes tornem-se sensíveis;
- Escovação com creme dental muito abrasivo, escovação incorreta e/ou escovação em um número de vezes maior do que três;
- Gengivite, que pode causar retração gengival;
- Dente lascado ou fraturado, com exposição da dentina;
- Use uma escova de cerdas muito macias;
- Escove corretamente para evitar a abrasão do esmalte e a retração gengival;
- Use um creme dental formulado especialmente para ajudar reduzir a sensibilidade;
- O dentista pode:
- Aplicar verniz de flúor nas áreas sensíveis para ajudar a fortalecer o dente;
- Prescrever um creme dental com alto teor de flúor para uso diário;
- Restaurar as áreas que perderam o esmalte;
Idosos
Como posso manter uma boa saúde bucal na terceira idade?
Se você cuidar bem dos seus dentes e fizer consultas periódicas com seu dentista, os seus dentes podem durar a vida inteira. Independentemente da idade, você pode ter dentes e gengivas saudáveis se escovar pelo menos três vezes ao dia com creme dental com flúor, se usar fio dental pelo menos uma vez ao dia e se for regularmente ao dentista para exames completos e limpeza.
Que informações sobre a saúde bucal um indivíduo da terceira idade deve ter?
Até mesmo quem escova e usa fio dental regularmente, pode ter alguns problemas específicos. Muitas pessoas na terceira idade usam dentaduras, tomam remédios e têm problemas de saúde geral. Felizmente, seu dentista pode ajudar você a encarar estes desafios com êxito quase que garantido.
- As cáries e os problemas com a raiz dos dentes são mais comuns em pessoas da terceira idade. Por isso, é importante escovar com um creme dental que contenha flúor, usar fio dental todos os dias e não deixar de ir ao dentista.
- A sensibilidade pode se agravar com a idade. Com o passar do tempo é normal haver retração gengival que expõe áreas do dente que não estão protegidas pelo esmalte dental. Estas áreas podem ser particularmente doloridas quando atingidas por alimentos e bebidas quentes ou frias. Nos casos mais severos, pode ocorrer sensibilidade com relação ao ar frio e a alimentos e líquidos doces ou amargos. Se seus dentes estiverem muito sensíveis, tente usar um creme dental apropriado. Se o problema persistir, consulte o dentista já que esta sensibilidade pode indicar a existência de um problema mais sério, como, por exemplo, cárie ou dente fraturado.
- As pessoas mais velhas se queixam de boca seca com freqüência. Este problema pode ser causado por medicamentos ou por distúrbios da saúde. Se não tratado, pode prejudicar seus dentes. Seu dentista pode recomendar vários métodos para manter sua boca mais úmida, como tratamentos ou remédios adequados para evitar a boca seca.
- Enfermidades preexistentes (diabete, problemas cardíacos, câncer) podem afetar a saúde da sua boca. Converse com seu dentista sobre quaisquer problemas de saúde existente para que ele possa ter uma visão completa da situação e para que possa ajudar você de forma mais específica.
- As dentaduras tornam mais fácil a vida de muitas pessoas da terceira idade, mas exigem cuidados especiais. Siga rigorosamente as instruções do seu dentista e, caso ocorra qualquer problema, marque uma consulta. Os portadores de dentaduras definitivas devem fazer um exame bucal geral pelo menos uma vez por ano.
1. Má alimentação.
2. Higiene bucal inadequada.
3. Doenças sistêmicas, como a diabete, enfermidades cardíacas e câncer.
4. Fatores ambientais, tais como o estresse e o fumo.
5. Certos medicamentos que podem influenciar os problemas gengivais.
Como as doenças gengivais são reversíveis em seus primeiros estágios, é importante diagnosticá-las o mais cedo possível. As consultas periódicas garantem o seu diagnóstico e o seu tratamento precoce. É importante saber que a boa higiene bucal evita o aparecimento de enfermidades gengivais.
As próteses são usadas para reforçar dentes danificados ou substituir dentes extraídos. Uma coroa é usada para recobrir um dente que sofreu perda de substância. Ela fortalece a estrutura do dente e melhora a sua aparência, sua forma ou seu alinhamento. As pontes ou próteses fixas são usadas para substituir um ou mais dentes faltantes e são fixadas nos dentes naturais ou nos implantes situados ao lado do espaço deixado pelo dente extraído.
Implantes
COMO OS IMPLANTES SÃO COLOCADOS? São várias etapas: 1. Planejamento 2. Colocação dos implantes 3. Reabertura dos implantes 4. Moldagem 5. Provisórias 6. Dentes definitivos 1. PLANEJAMENTO - É a fase mais difícil e a mais Importante . Um profissional especializado deverá pedir-lhe exames radiográficos feitos com marcadores especiais, que permitam uma medição precisa da quantidade de osso disponível em seus maxilares em alguns casos é preciso Tomografia Computadorizada para confirmar a quantidade de osso. Quanto mais osso melhor, pois assim poderemos usar implantes maiores, com maior resistência, maior superfície de contato e, conseqüentemente, maior área de osseointegração. Será feito um exame minucioso de suas estruturas orais (incluindo dentes, gengivas, mucosas, língua, músculos da mastigação, padrão de mordida e desoclusão, avaliação da saliva e hábitos higiênicos). Serão feitos modelos de gesso de suas arcadas dentárias para estudo, os quais serão montados em um articulador (aparelho para o estudo dos movimentos mastigatórios). Nele serão estudados a forma e função dos seus dentes naturais, possibilidades e alternativas de próteses (planejamento dos dentes artificiais). Serão solicitados exames laboratoriais, para avaliar sua condição geral de saúde e metabolismo ósseo e, ainda, exames específicos para detectar sua qualidade óssea. Com base nisto tudo, o profissional decidirá o tipo de prótese (os dentes) ideal para o seu caso específico. Juntando estas informações com suas medidas e qualidade ósseas é que será decidido o número , distribuição (localização ideal) e tamanho dos implantes. Quanto maiores, mais largos e em maior número, tanto melhor o resultado final e melhor a capacidade mastigatória . Serão avaliadas suas gengivas e sua higiene. Doenças gengivais, cáries, infecções, dentes com tratamento de canais duvidosos e má higiene (acúmulo de placa microbiana) contra-indicam a colocação de implantes. A fase cirúrgica só pode ser realizada após completamente eliminados os problemas acima. 2. Colocação dos implantes (das raízes artificiais) É a Primeira fase cirúrgica. Pode ser subdividida, se você não tiver quantidade óssea suficiente. Preparação óssea (incluindo enxertos, extrações de raízes inaproveitáveis, retratamento de canais com lesão, procedimentos para colocar a gengiva em condições excelentes, etc.) Colocação das raízes artificiais: Por meio de uma pequena cirurgia, sob anestesia local, um guia cirúrgico é colocado na boca do paciente, indicando o local exato para as perfurações ósseas. Nestas perfurações, feitas por brocas especiais, sob irrigação, as pequenas raízes metálicas são colocadas, devendo ficar bem justas. As gengivas recebem pontos e o paciente é dispensado após a recuperação, podendo usar uma prótese provisória após 2 ou 3 dias. Porém, se a área não for de importância estética absoluta, o ideal é permanecer sem prótese alguma, uma vez que o repouso dos implantes é fator fundamental ao sucesso. Muito embora, já existem hoje técnicas que possibilitam á colocação dos dentes no mesmo dia em que são colocados os implantes ou seja "Técnica de Carga Imediata" . 3. Reabertura dos implantes dentários É a segunda fase cirúrgica. Com um mínimo de 4 meses após a primeira fase cirúrgica, é feita uma pequena abertura na gengiva para acomodar um conector, que vai unir a raiz artificial à coroa (o novo dente) e dar o contorno adequado à gengiva. Embora a tendência de hoje é para colocação de Implantes de único tempo cirúrgico ,que elimina esta face de abertura, na hora da cirurgia já é deixado o "Implante aparente", mas com uma pequena proteção. 4. Moldagem Uma vez cicatrizada a gengiva, é feita uma moldagem, com a colocação de pequenos pinos de moldagem. São feitos modelos de gesso da boca, com os implantes em suas posições exatas. 5. Protese provisória Feitas em acrílico da cor dos dentes, para estimular a maturação óssea em volta das raízes artificiais, os implantes que não forem ativados apos os primeiros 6 meses, podem sofrer reabsorção espontânea, indo a falência. 6. Prótese com dente definitivo Como todas as conexões são pré-fabricadas, a adaptação e justeza do trabalho são incomparáveis. Os dentes são aparafusados sobre as raízes artificiais e podendo ate ser removidos com um pequeno esforço pelo profissional, caso seja necessário algum reparo da porcelana, tratamento gengival ou aumento da prótese por perda de algum outro dente natural. Mesmo na ausência de qualquer destas intercorrências, anualmente, é aconselhável o desparafusamento e um polimento. A cabecinha do parafuso, que aparece sobre os dentes, pode ser recoberta com resina da cor dos dentes vizinhos. Com o avanço da técnica a tendência hoje é para a colocação dos dentes cimentados, como ocorre nas próteses dos dentes naturais. EXISTEM IMPLANTES DIFERENTES? Atualmente, existem no mercado mais de 40 tipos de implantes modernos, havendo até alguns brasileiros de alta qualidade. É como carro. Existem várias marcas e modelos. Um tem uma aplicação, outro funciona melhor sob certas condições. E A REJEIÇÃO? A rejeição é um fenômeno biológico de defesa do organismo, que reage contra tecidos ou organismos vivos, que invadem ou são colocados em nosso corpo. Por exemplo: Se micróbios ou bactérias penetram em nosso dedo, o nosso organismo produz anti-corpos. Se um caco de vidro penetra no braço de uma pessoa, mas não leva bactérias, esse pedaço de vidro permanece inerte, uma vez que nosso organismo só reage contra substâncias vivas (proteínas ou glicoproteínas). Da mesma forma o implante. É impossível um implante provocar rejeição ou reação de corpo-estranho. O titânio, dos implantes modernos, chega a propiciar a formação óssea. Se um implante é perdido, deve-se pesquisar a causa, mas certamente rejeição jamais será. QUANDO (E COMO) SÃO FEITOS OS DENTES ? Os dentes só podem ser feitos após a osseointegração (união entre o osso e a raiz artificial), ou seja, de 4 a 6 meses após a colocação dos implantes. No caso de enxerto ósseo este tempo deve ser estendido. Porém, a osseointegração neste período ainda é imatura, ou seja: devem ser colocados dentes provisórios, de plástico, o que vai estimular a maturação óssea por um período de 3 a 6 meses. Aí então podem ser confeccionados os dentes definitivos, sendo usados prata,paládium, titânio e ouro, recobertos por resina acrílica ou porcelana (cerâmica).Mas já existe técnica bem mais avançada que consiste em colocar os dente no mesmo dia da colocação dos implantes, para isto é preciso um exame mais detalhado do caso, Os implantes estão avançando muito rápido no que se refere a técnica de colocação e tratamento da superfície dos implantes propriamente dito.
O resultado final do tratamento depende fundamentalmente da capacidade de regeneração e cicatrização, do estado geral de saúde e dos procedimentos meticulosos de higiene bucal do paciente, além de sua cooperação e cumprimento de todas as orientações do profissional. Desta forma, nenhuma garantia absoluta será necessária.
A HIGIENE BUCAL É TÃO IMPORTANTE ASSIM ?
Estudos estatísticos apontam que, dentre os poucos casos de insucesso de implantes, a esmagadora maioria é causada por falta de cuidados higiênicos adequados e a conseqüente formação de placa microbiana entre as raízes artificiais e as gengivas.
COMO DEVO REALIZAR A HIGIENE DOS IMPLANTES? A escova dental é o instrumento de higiene oral. O restante são procedimentos complementares. No caso de raízes artificiais, alguns destes tornam-se obrigatórios, pelo menos uma vez ao dia, como é o caso da escova interdental e do super-fio. Porém, em cada caso em particular, o profissional deve orientar e treinar seu paciente para a execução correta de cada procedimento.
Laserterapia
O laser é uma fonte de luz com vários comprimentos de onda que lhe conferem propriedades terapêuticas.
Hoje em dia podemos considerar o laser um auxiliar terapêutico indispensável aos consultórios odontológicos e médicos. Pesquisas científicas atuais demonstram que o laser tem ação antiinflamatória, e poder de regeneração tecidual. Na odontologia, estes fatores permitem a diminuição do desconforto e uma recuperação mais rápida, imediatamente após a primeira aplicação do laser. Isto também se deve ao poder bioestimulante do laser.
Indicações
A utilização da laserterapia na odontologia para reparação de tecidos é um importante agente coadjuvante no tratamento odontológico convencional ou usado isoladamente em algumas patologias.
- Clareamento Dental - realização em sessão única pela aceleração de ativação dos agentes clareadores utilizados, e reduzindo também a sensibilidade pós clareamento dental.
- Alívio da dor- promove o alívio de dores de diversas etiologias, incluindo hipersensibilidade dentinária, dores de origem pulpar, dores nevrálgicas, dores em tecido mole, mialgias, dores de pré e pós – operatório, entre outras aplicações.
- Reparação tecidual- A fotobioestimulação por laser tem sido empregada de maneira eficaz em tratamentos de necrose pulpar, após tratamento endodôntico, bem como nos casos de lesão traumática, ou no pós-operatório, promovendo uma reparação tecidual mais rápida e com padrão de qualidade tecidual superior.
- Redução de edema e de hiperemia (efeito antiinflamatório, antiedematoso e normalizador circulatório) – Indicado na aplicação pós operatório de procedimentos no campo da periodontia, cirurgia oral menor.
Dentre as vantagens da utilização do laser nesta fase da vida é possível citar:
- Promove diminuição do incômodo pela erupção dos dentes decíduos;
- Nos casos de tratamento endodôntico;
- Promove a diminuição do edema e dor em caso de trauma ou fratura dental;
- Auxilia na diminuição da dor e na reparação dos tecidos, nos casos de estomatites, doença que causa grande dificuldade na ingestão de alimentos e líquidos por parte das crianças.
Medicamentos
Os seguintes medicamentos podem causar o ressecamento da boca:
- Anti-histamínicos (Antialérgicos);
- Descongestionantes;
- Analgésicos;
- Diuréticos;
- Medicamentos para pressão alta;
- Antidepressivos.
Nutricao
Nutrição adequada é a ingestão de uma dieta equilibrada para que seu corpo possa assimilar os nutrientes necessários para uma boa saúde. A cada dia, o corpo humano se renova, isto é, renova seus músculos, sua matéria óssea, sua pele e seu sangue. As substâncias que você ingere são a base para a formação destes novos tecidos. Se sua dieta contiver poucos nutrientes essenciais ao corpo, sua boca estará mais vulnerável a infecções.
Quando uma criança não se alimenta corretamente, seus dentes podem não se desenvolver de maneira adequada. Para ter dentes fortes e resistentes à formação de cáries, a criança precisa de
uma dieta rica em cálcio, fósforo e flúor.
Quais são os diferentes tipos de nutrientes?
Uma boa alimentação deve conter os seguintes nutrientes:
- Carboidratos;
- Ácidos graxos essenciais (contidos em produtos gordurosos);
- Aminoácidos (encontrados nas proteínas);
- Quinze vitaminas;
- Cerca de vinte e cinco minerais;
- Água.
- 6 a 11 porções de pão e cereais;
- 3 a 5 porções de verduras;
- 2 a 4 porções de frutas;
- 2 a 3 porções de produtos derivados do leite;
- 2 a 3 porções de carne, aves, peixe, ovos, feijão ou nozes.
Uma alimentação incorreta pode causar gengivite e cáries. Os alimentos que têm elevado teor de carboidratos, açúcares e amidos contribuem muito para a produção dos ácidos que formam a placa bacteriana que ataca o esmalte dos dentes. Com o passar do tempo, esses ácidos destroem o esmalte, formando a cárie.
Caso tenha que ingerir produtos com muito açúcar ou amido, consuma-os durante as refeições e não entre refeições. Evite alimentos que grudem nos dentes, pois eles podem aumentar a formação da placa bacteriana. A maior parte dos alimentos já tem ingredientes que produzem ácidos. Por isso, quanto menos você expuser seus dentes a esses ingredientes menor força terão os ácidos da placa bacteriana de atacarem o esmalte. Um aspecto positivo é o fato da produção de saliva aumentar durante as refeições, removendo os detritos alimentares da boca.
*”Guia completo para um melhor cuidado dos dentes”, de Jeffrey F. Taintor, DDS, MA e Mary Jane Taintor, 1997.
Overdenture
Piercing
Nos anos mais recentes, os piercings na região da boca têm se tornado uma forma de expressão individual. Mas o piercing colocado na língua, lábios ou bochechas envolvem riscos maiores do que os colocados na orelha e outras partes do corpo. Antes de perfurar qualquer parte, dentro ou fora da boca, converse com seu dentista.
É possível que você desconheça os efeitos colaterais que um piercing oral oferece. Estes efeitos são:
- Infecção – A boca contém milhões de bactérias que podem causar infeções depois de um piercing oral. Tocar as partes de metal depois de colocados na boca também torna maior o risco de se contrair uma infecção.
- Sangramento prolongado – Caso um vaso sangüíneo seja perfurado pela agulha durante o procedimento de colocação, pode haver um sangramento difícil de ser controlado com perda excessiva de sangue.
- Dor e inchaço – São sintomas comuns de piercing na boca. Em casos mais sérios, se a língua inchar demais, poderá fechar a passagem de ar e dificultar a respiração.
- Dentes danificados – O contato com a jóia pode danificar o dente. Dentes com restaurações - por exemplo, coroas ou jaquetas - também podem ser danificados pelas peças de metal.
- Ferimento na gengiva – As peças de metal não só podem ferir o tecido da gengiva que é sensível, mas também podem causar retração gengival. A retração gengival tem aparência desagradável e torna seus dentes mais vulneráveis a cáries e à periodontite.
- Interferência com a função normal da boca – As jóias aumentam a produção de saliva, impedindo que você pronuncie corretamente as palavras e também dificultam a mastigação.
- Doenças transmissíveis pelo sangue – O piercing da boca foi identificado pelo Instituto Nacional de Saúde como uma possível forma de transmissão da hepatite B, C, D e G.
- Endocardite – O piercing oral pode causar endocardite, que é a inflamação das válvulas e dos tecidos cardíacos. A ferida causada pela perfuração dá às bactérias da boca a oportunidade de entrar na corrente sangüínea, podendo chegar ao coração.
Prótese Removível
Existem dois tipos principais de próteses: totais (dentaduras) ou parciais. Seu dentista irá ajudá-lo a escolher o tipo de prótese mais apropriado, dependendo do número de dentes a serem substituídos e o custo do tratamento.
Como funcionam as próteses?
No caso de próteses totais, uma base acrílica da cor da mucosa bucal se apóia sobre sua gengiva. A base da prótese superior cobre todo o palato (céu da boca), enquanto que a prótese inferior é confeccionada na forma de uma ferradura, a fim de permitir espaço livre para acomodar sua língua.
As próteses são feitas sob medida em um protético, a partir de moldes tirados de sua boca. Seu dentista irá determinar qual dos três tipos de próteses descritas abaixo é o melhor para você.
- Prótese Total Convencional (dentadura)
A prótese total convencional é colocada em sua boca depois que os dentes remanescentes foram extraídos e os tecidos cicatrizarem. A cicatrização pode demorar vários meses durante os quais você poderá ficar sem dentes. - Prótese Total Imediata
A prótese total imediata é instalada imediatamente após a extração dos dentes remanescentes. (Seu dentista tira as medidas e faz as moldagens de seus ossos maxilares durante uma consulta). Embora as próteses imediatas ofereçam a vantagem de você não ficar sem os seus dentes, elas precisam ser reajustadas nos meses subseqüentes após a sua instalação. A razão para isto é que o osso no qual os dentes estavam inseridos sofre uma mudança após a cicatrização, fazendo com que a prótese fique sem estabilidade. - Prótese Parcial Removível
A prótese parcial removível consiste em uma estrutura metálica que se apóia nos dentes naturais. Algumas vezes, são colocadas coroas sobre alguns dos dentes naturais e que servem como apoios para a prótese. Próteses parciais removíveis oferecem uma alternativa móvel para as pontes.
Novas próteses podem parecer estranhas e desconfortáveis durante as primeiras semanas ou até meses. Alimentar-se e falar com a prótese pode exigir um pouco de prática. É comum ter-se a sensação dos dentes salientes ou soltos, enquanto os músculos de suas bochechas e língua se habituam a segurar a prótese no lugar. O fluxo excessivo de saliva, a sensação de que a língua não tem lugar certo para ficar e uma pequena irritação ou ulceração não são incomuns. No caso de irritação, consulte seu dentista.
Durante um certo período de tempo, sua prótese precisará ser reajustada, refeita ou recolocada devido ao desgaste normal. Recolocar significa fazer uma nova base, mantendo os dentes existentes na prótese. Também, com o passar do tempo, sua boca muda naturalmente. Estas mudanças fazem com que sua prótese fique solta, dificultando a mastigação e irritando a gengiva. Você deve consultar seu dentista, no mínimo uma vez ao ano, para uma avaliação.
Estas são algumas dicas para cuidar de sua prótese:
- Quando manusear sua prótese, coloque-a sobre uma toalha dobrada ou um recipiente com água. As próteses são delicadas, e podem se quebrar se sofrerem uma queda.
- Não deixe sua prótese secar. Coloque-a em uma solução de limpeza própria para próteses ou em água pura quando não a estiver usando. Nunca use água quente, pois esta pode deformá-la.
- Escove sua prótese diariamente para remover os resíduos de alimentos e a placa bacteriana, e evitar que fique manchada. Um limpador ultra-sônico pode ser utilizado para cuidar de sua prótese, mas ele não substitui uma escovação cuidadosa diária.
- Escove suas gengivas, língua e palato todas as manhãs com uma escova de cerdas suaves antes de colocar a prótese. Isto estimula a circulação em seus tecidos e ajuda a remover a placa.
Protetor Bucal
Protocolo sobre Implantes
O protocolo sobre implantes é a grande revolução que a odontologia trouxe para os desdentados totais. Aqueles que não possuem nenhum dente em uma das arcadas, ou nas duas.
Até então a única solução disponível no mundo eram as “terríveis” dentaduras. Além de pouco estéticas, desconfortáveis ao extremo e instáveis, elas não são uma solução aceitável no aspecto funcional. por mais perfeita que uma dentadura possa ser feita, ela não devolve 25% da função mastigatória que os dentes verdadeiros possuiam.
Para corrigir esse atraso, os implantes e as próteses se uniram e formaram o PROTOCOLO SOBRE IMPLANTES.
Esse técnica baseia-se na instalação de uma estrutura com diversos implantes alinhados na maxila ou na mandíbula, onde sobre eles é parafusada uma prótese resistente (e no caso da maxila, sem céu da boca), trazendo extrema qualidade de vida para os pacientes.
Reabilitação Oral
A grande finalidade da reabilitação oral é reestabelecer: Função (mastigação), estética (beleza), saúde (remover infecções). Uma dentição completa e bem articulada evita problemas na mandíbula e no maxilar, que podem se desenvolver em problemas maiores e mais complexos no futuro.
A reabilitação oral envolve um planejamento complexo do caso, normalmente envolvendo múltiplas especialidades como endodontia (canal), periodontia (gengiva), implantodontia (implantes), prótese dentária, dentística (restaurações), estética.
Para realizar esse procedimento o primeiro passo é agendar uma avaliação no dentista e realizar um raio-X panorâmico e avaliar o estado da boca e dos dentes. Em seguida, um molde de gesso é feito para que a arcada dentária seja colocada em um aparelho específico, que vai reproduzir os movimentos naturais durante a mastigação. A partir dessa avaliação, o dentista vai determinar o que precisa ser feito, implante odontológico, prótese fixa, prótese removível ou prótese total. O processo procura reconstituir a engrenagem anatômica dos dentes, a partir dos movimentos de mastigação para criar uma estética nos dentes, com um sorriso bonito.
Em cada caso será determinado quais exames, avaliações ou testes são necessários, como cada paciente pode ter um problema específico ou vários que afetam diferentes regiões, o dentista vai avaliar o tratamento correto para cada pessoa. A duração do processo pode variar entre semanas a meses, dependendo do grau do problema. Pode ser feito também em day clinic para acelerar o processo. Ajuda de outros médicos
A falta de dentes na arcada dentária pode fazer com que a pessoa além de passar por um tratamento Reabilitação Oral, tenha que buscar ajuda de outros médicos, como: fonoaudiólogos, fisioterapeutas e cirurgiões plásticos. Esses médicos irão ajudar a reconstituir movimentos, falas ou aparência. Durabilidade de uma Reabilitação Oral
Após o término de uma Reabilitação Oral, haverá a necessidade da visita periódica do paciente para a limpeza e para a aplicação de flúor. Um trabalho de reabilitação tem em média uma prazo de durabilidade de 10 anos, mas isso depende dos hábitos e da higiene de cada um.
A durabilidade do tratamento é inerente a cada caso. Mas o tempo pode se estender quando implantes dentários são aplicados porque neles não há risco de cárie. Para se fazer uma reabilitação as consultas em geral são de longa duração, e o tempo total do tratamento pode durar de uma hora até um ano, dependo do trabalho que será realizado.
Refrigerantes
Os refrigerantes destacam-se como uma das fontes mais importantes de cárie dental presentes na dieta, atingindo pessoas de todas as idades. Ácidos e subprodutos acidíferos do açúcar presente nos refrigerantes desmineralizam o esmalte dental, contribuindo para a formação das cáries. Em casos extremos, o esmalte desmineralizado combinado com escovação inadequada, bruxismo (hábito de ranger os dentes) ou outros fatores pode levar à perda dental.
Bebidas sem açúcar, que respondem por apenas 14 porcento do consumo total de refrigerantes, são menos prejudiciais. Entretanto, elas são acidíferas e têm potencial para causar problemas.
Crianças, adolescentes e adultos podem se beneficiar com a redução do número de refrigerantes que consomem, e também com as terapias bucais disponíveis. Eis algumas medidas que você pode tomar:
- Substitua o refrigerante por bebidas diferentes: Tenha na geladeira bebidas que contenham menos açúcar e ácido, como água, leite e suco de fruta 100% natural. Ingira essas bebidas e estimule seus filhos a fazer o mesmo.
- Enxágüe a boca com água: Depois de consumir um refrigerante, faça um bochecho com água para remover vestígios da bebida que possam prolongar o tempo que o esmalte fica exposto aos ácidos.
- Use creme dental e solução para bochecho com flúor: O flúor reduz as cáries e fortalece o esmalte dental, portanto escove com um creme dental que contenha flúor. Fazer bochechos com uma solução com flúor também pode ajudar.
- Faça aplicação de flúor com o profissional: Seu dentista pode aplicar flúor na forma de espuma, gel ou solução. Os refrigerantes são implacáveis com seus dentes. Reduzindo a quantidade que você ingere, praticando uma boa higiene bucal e buscando ajuda com seu dentista e higienista, você pode neutralizar seus efeitos e usufruir de uma saúde bucal melhor. (Fonte: Colgate)
Restaurações
Ao fechar os espaços onde as bactérias podem se infiltrar, a restauração também ajuda a prevenir uma deterioração posterior. Os materiais utilizados para as restaurações podem ser ouro, porcelana, uma resina composta (restauração da cor do dente) e amálgama (uma liga de mercúrio, prata, cobre, estanho e algumas vezes zinco).
Qual o melhor tipo de restauração?
Não existe um único tipo ideal para todas as pessoas. O que é melhor para cada um será determinado pela extensão do preparo, a possível alergia a certos materiais, o local da boca que precisa ser restaurado e o custo. Algumas considerações a respeito de cada material:
- Restaurações de ouro são feitas sob encomenda em um laboratório de prótese e cimentadas no dente em questão. As incrustações de ouro são bem aceitas pelos tecidos gengivais e podem durar mais de 20 anos. Por esta razão, muitos autores consideram o ouro o melhor material de restauração. No entanto, é geralmente a opção mais cara e requer múltiplas visitas ao dentista.
- Restaurações de amálgama (prata) são resistentes e relativamente baratas. Entretanto, devido à sua cor escura, são mais aparentes que a porcelana ou o composto de resina, e não são utilizadas em áreas muito visíveis, como os dentes anteriores.
- Resinas compostas (plástico) combinam com a cor dos seus dentes e, portanto, são utilizadas quando se deseja uma aparência mais natural. Os ingredientes são misturados e colocados diretamente na cavidade, onde endurecem. As resinas compostas não são o material ideal para grandes restaurações, pois podem lascar ou se desgastar com o tempo. Também podem manchar com pigmentos como o café, chá ou tabaco, e não duram tanto quanto outros tipos de restaurações – em geral de três a 10 anos.
- Restaurações de porcelana são chamadas de incrustações ou facetas. São feitas sob medida por um laboratório de prótese e, em seguida, cimentadas no dente. Podem combinar com a cor do dente e resistir à manchas. A restauração de porcelana geralmente cobre a maior parte do dente. Seu custo é similar ao do ouro.
O que acontece quando se faz uma restauração?
Quando seu dentista decide restaurar um dente cariado, ele primeiramente remove a parte deteriorada e limpa a área atingida. Depois de limpa a cavidade, a restauração é feita com um dos materiais descritos acima.
Como saber se preciso de uma restauração?
Apenas seu dentista poderá determinar se você tem uma cárie que precisa ser tratada. Durante uma avaliação, seu dentista utilizará um pequeno espelho para examinar as superfícies de cada dente.
Qualquer aspecto que pareça anormal será, então, minuciosamente examinado com instrumentos especiais. Seu dentista poderá também fazer uma tomada radiográfica completa da boca ou apenas parte dela. O tipo de tratamento que seu dentista escolher depende da extensão do dano causado pela cárie.
Saúde Bucal nas Crianças
Ensinar seu filho a cuidar dos dentes desde pequeno é um investimento que trará benefícios para o resto da vida dele. Comece dando o exemplo: cuide bem dos seus próprios dentes. Isto mostra a ele que a saúde bucal é importante. E atitudes que tornam o cuidado com os dentes algo interessante e divertido (como, por exemplo, escovar os dentes junto com ele ou deixá-lo escolher sua própria escova) incentivam a boa higiene bucal.
Para ajudar seu filho a proteger seus dentes e gengiva e para ajuda-lo a reduzir o risco de cáries, ensine-o a seguir os seguintes passos:
- Escovar pelo menos três vezes ao dia com um creme dental que contém flúor para remover a placa bacteriana (aquela película pegajosa que se forma sobre os dentes e que é a principal causa das cáries).
- Usar fio dental diariamente para remover a placa que se aloja entre os dentes e abaixo da gengiva, evitando que ela endureça e se transforme em cálculo dental. Depois que o cálculo se forma, só o dentista pode removê-lo.
- Adotar uma alimentação equilibrada, com pouco açúcar e amido. Estes alimentos produzem os ácidos da placa que causam cáries.
- Ingerir alimentos com açúcar e amido durante as principais refeições e não entre as refeições (a saliva extra, produzida durante a refeição, evita que os resíduos alimentares se depositem nos dentes).
- Usar produtos que contêm flúor (inclusive o creme dental). Certifique-se de que a água que suas crianças bebem contém flúor. Se a água não contiver flúor, seu dentista ou pediatra poderá prescrever suplementos diários de flúor.
- Ir ao dentista para exames regulares.
O fio dental remove as partículas de alimentos e placa bacteriana que se instala entre os dentes e que a escova sozinha não consegue retirar. Por isso, comece a usá-lo quando a criança tiver quatro anos. Ao completar oito anos, as crianças já podem usar o fio dental sem auxílio dos pais
O que é o flúor e como saber se meu filho está recebendo a quantia certa de flúor?
O flúor é uma das melhores maneiras de evitar as cáries. Trata-se de um mineral natural que se combina com o esmalte dos dentes, fortalecendo-os. Muitas empresas de distribuição de água adicionam a quantia de flúor adequada ao desenvolvimento dos dentes. Para saber se a água que você tem em casa contém flúor e qual a quantidade de flúor que apresenta, ligue para a empresa de distribuição de água no seu município. Se a água que você recebe não tem flúor (ou não contém a quantidade adequada), seu pediatra ou dentista poderá recomendar gotas de flúor ou um enxagüante bucal, além de um creme dental com flúor
Qual é a importância da alimentação na saúde bucal da criança?
Para que seu filho desenvolva dentes resistentes, é necessário que ele tenha uma alimentação equilibrada. Sua alimentação deve conter uma ampla variedade de vitaminas e sais minerais, cálcio, fósforo e níveis adequados de flúor.
Assim como o flúor é o maior protetor dos dentes do seu filho, as guloseimas são seu maior inimigo. Os açúcares e amidos que fazem parte de vários tipos de alimentos e de bolachas, biscoitos, doces, frutas secas, refrigerantes e batata frita combinam-se com a placa bacteriana produzindo substâncias ácidas. Estas substâncias atacam o esmalte e podem formar cáries.
Cada “ataque” pode durar até 20 minutos, após o término da ingestão do alimento. Até as "beliscadas" podem criar ataques ácidos da placa. Portanto, é recomendável não comer entre as refeições.
O que fazer se meu filho quebrar um dente?
Em qualquer caso de ferimento na boca, você deve comunicar-se imediatamente com o dentista. Ele fará um exame na área afetada e determinará o tratamento adequado
Você pode dar um analgésico para evitar que a criança sofra até chegar ao consultório. Se possível, guarde a parte quebrada do dente e mostre-a ao dentista
No caso cair o dente em razão de um acidente, leve o dente ao dentista o mais rápido possível. Evite tocar muito no dente e procure não limpá-lo. Coloque-o em água ou leite até chegar ao consultório do dentista*. Em alguns casos é possível reimplantá-lo
* Pode ser que seja possível recolocá-lo na boca de seu filho através do procedimento de reimplante.
Higiene bucal da gravidez a primeira infância
.
0-6 meses
Os bebês precisam ter dentes saudáveis para poderem comer, falar e sorrir. Estas são três maneiras de proteger o sorriso de seu bebê. Cheque o flúor.
O flúor previne cáries e tornam os dentes fortes. Pergunte ao seu dentista, ou médico, se a água de sua casa tem flúor suficiente para ajudar a prevenir cáries. Caso a água não contenha flúor ou caso você utilize água mineral sem fluor para
- beber e cozinhar, seu dentista ou médico podem receitar suplementos de flúor para o seu bebê.
- Evite dar mamadeira para seu bebê antes de ele dormir. Dar mamadeira a seu bebê antes de ele dormir pode causar muitas cáries. Caso você amamente, evite que o bebê mame de maneira contínua. Quaisquer líquidos, exceto água, podem causar cáries, mesmo leite e sucos. Se você acha que seu bebê precisa sugar algo durante o sono, tente uma chupeta ou uma mamadeira de água.
- Cuide de sua própria higiene bucal também.
As últimas pesquisas demonstraram que você pode transmitir os germes que causam cáries para o bebê assim que ele tiver dentes. Isso acontece dividindo ou experimentando a papinha, ou deixando que ele coloque os dedos dentro da boca da mãe. Não cuidar de os dentes cariados também significa que há maiores chances de transmitir esses germes, portanto todas os dentes cariados devem ser tratados assim que possível!
Cárie infantil é uma doença grave dos dentes, e que resulta em cáries, dor, infecção, problemas na fala e perda de autoconfiança. Pode-se prevenir a cárie infantil. Aqui seguem algumas dicas:
- Evite dar mamadeira para seu bebê antes de ele dormir ou deixar que ele mame no peito continuamente.
- O único líquido que não irá prejudicar a saúde dos dentes de seu bebê é a água.
- De acordo com a Associação Americana de Saúde Pública, deve-se desmamar o bebê entre 12 e 14 meses.
Seguem aqui quatro maneiras de proteger o sorriso de seu bebê.
- Quando seu bebê tiver idade entre 6 e 12 meses, comece a utilizar um copo com bico. Assim que seu bebê começar a querer pegar os adereços da mãe ou seus próprios brinquedos, é hora de introduzir o copo com bico. Pode ser um problema no início, mas seja persistente. Seu bebê vai adorar aprender esta nova habilidade!
- Evite que seu bebê passe horas com uma mamadeira nas mãos. Exposição prolongada à mamadeira pode levar a um problema grave conhecido como "Cárie infantil".
- Limpe os dentes do bebê diariamente. Quando os dentes do bebê começam a aparecer, por volta do seis meses, você deve limpar seus dentes, todos os dias, com uma escova de dente macia, umedecida e apropriada para a idade. A melhor posição para você seria sentada segurando o bebê em seus braços. Você poderia também se sentar no chão e colocar a cabeça dele no seu colo. Veja se os dentes do bebê não têm cáries levantando seus lábios e olhando seus dentes. Caso observe pontos marrons ou esbranquiçados lembrando giz, entre em contato com o seu dentista.
- Vá ao dentista. Ao completar um ano, já é hora de levar seu bebê para sua primeira consulta com o dentista.
Estas são duas importantes maneiras de proteger o sorriso de seu filho pequeno.
- Limite o número de lanches que a criança come no dia. Evite oferecer a seu filho refrigerantes, doces e alimentos a base de amido como batata frita e bolacha. Esses lanches podem causar cáries. Evite lanches freqüentes. Cada vez que seu filho ingere alimentos doces ou a base de amido ocorre um "ataque ácido" nos dentes. Quanto mais "ataques ácidos", mais chances de cáries. Se você decidir oferecer doces ou alimentos a base de amido, ofereça na hora das refeições.
Atenção, de acordo com a Academia Americana de Pediatria seu filho não deveria estar usando mamadeira nesta idade.
Oferecer mamadeira por longos períodos ou durante o sono podem levar ao aparecimento de cáries. Isso pode tanto causar dor e infecção, como também estragar o belo sorriso de seu filho!
Lista de lanches para ter dentes saudáveis
Oferecer lanches saudáveis para seu filho é um gesto de amor. - Frutas
- Verduras
- Sanduíches
- Cereais com leite
- Queijo
- Iogurte
- Leite
- Suco sem açúcar
- Escove os dentes pelo menos três vezes por dia.
Escove os dentes da criança principalmenete após o café da manhã e antes de ir dormir. Utilize uma escova macia e indicada para a idade dela para limpar os dentes e gengivas. Se seu filho sabe cuspir depois da escovação, use uma porção pequena, do tamanho de uma ervilha, creme dental com flúor. Seu filho pode começar a praticar escovando os próprios dentes, porém você precisará auxiliá-lo. Quando ele terminar a escovação você precisa dar o toque final. Muitas crianças pequenas não escovam os dentes corretamente até completarem 6 anos. - Lembre-se- o dentista é seu parceiro!
Depois do primeiro checkup com um ano de idade, seu filho precisa ir ao dentista regularmente. Antes de levá-lo, talvez seja uma boa idéia brincar de dentista. Use uma lanterna e um espelho e conte quantos dentes seu filho tem e vice-versa. Leia livros a respeito de uma consulta com o dentista e lembre seu filho do que irá acontecer durante a visita. Você poderia dizer, "o dentista quer vê-lo novamente, e quem sabe vai tirar uma foto dos seus dentes"! Mantenha uma mensagem positiva.
Tracionamento Dentes Inclusos
- Má posição dos dentes adjacentes;
- Formação de cisto dentígero e Reabsorção externa de dentes vizinhos ao dente impactado.
Traumatismo Dentário
- Fratura do dente: procure o fragmento, coloque-o dentro de um recipiente com soro fisiológico , leite ou água limpa e procure o dentista com o fragmento. O pedaço do dente talvez poderá ser colado.
- Desalinhamento ou mobilidade do dente: com uma gaze tente alinhar suavemente o dente, sem pressionar forçadamente. Procure um dentista rapidamente.
- O dente sai inteiro da boca: localize o dente e pegue-o pela coroa (não segurar pela raiz e não secar), lave em soro fisiológico, leite ou água limpa, tente colocá-lo de volta no seu lugar e procure o dentista imediatamente. O segredo para o sucesso na recolocação de um dente é reimplantá-lo no local de onde saiu o mais rápido possível. A cada minuto que passa, um número maior de células da raiz do dente morrerão. Se não conseguir recolocar o dente no local de onde ele saiu, coloque-o em um recipiente com soro ou leite e procure o dentista imediatamente.